Lots of interesting abstracts and cases were submitted for TCTAP 2026. Below are the accepted ones after a thorough review by our official reviewers. Don¡¯t miss the opportunity to expand your knowledge!
CASE20251115_008
Hard Way to Go: Critical Above-the-Knee Artery Stenosis and Calcification
By Yi-Jia Su
Presenter
Yi-Jia Su
Authors
Yi-Jia Su1
Affiliation
National Cheng Kung University Hospital, Taiwan1
View Study Report
CASE20251115_008
Endovascular - Iliac / SFA Intervention
Hard Way to Go: Critical Above-the-Knee Artery Stenosis and Calcification
Yi-Jia Su1
National Cheng Kung University Hospital, Taiwan1
Clinical Information
Relevant Clinical History and Physical Exam
64 year-old male with history of DM, HTN, CAD. His ADL was totally independent. This time he suffered from progressive bilateral leg claudication and tenderness since several months ago. ABI test was positive, and he was admitted for suspicious of bilateral leg PAOD.


Relevant Test Results Prior to Catheterization
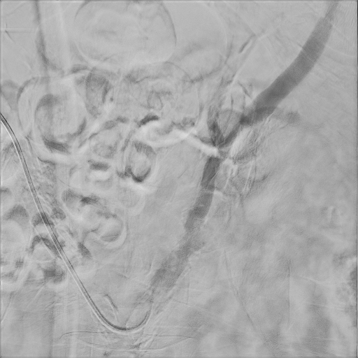
Peripheral angiogram showed diffuse atherosclerosis and multiple critical stenosis of bilateral ATK artery. Considering the patient's chief complaint was right leg tenderness, PTA for right leg was performed.


Relevant Catheterization Findings
Peripheral angiogram showed diffuse atherosclerosis and multiple critical stenosis of bilateral ATK artery. Considering the patient's chief complaint was right leg tenderness, PTA for right leg was performed.






Interventional Management
Procedural Step
Owning to multiple stenosis and total occlusion, terumo wire cannot pass through the lesion. we ever use Connect wire, V-18 wire and even shift to Astato for calcified lesion with the assist of CXI. After several times attempt of antegrade wiring, the V-18 wire finally pentrate thrthrough the calcified lesion and advanced to distal popliteal artery. Finally the V-18 wire pass the lesion and balloon angioplasty was performed. Diffuse dissection with TIMI II flow was discovered after balloon angioplasty, thus we deployed Supera stent at SFA.Final angiogram showed acceptable result.






Case Summary
Despite multiple calcified lesion and totally occluded vessel length longer than 200mm, with the guidance of calcification and distal true lumen angiogram, we use crossover-antegrade approach to pass through the lesion with successful balloon angioplasty and stenting. Final result was TIMI III flow of distal limb and the patient's symptoms subsided.
