Lots of interesting abstracts and cases were submitted for TCTAP 2026. Below are the accepted ones after a thorough review by our official reviewers. Don¡¯t miss the opportunity to expand your knowledge!
CASE20251114_055
Life Hanging by a Thread: Managing a Case of Ruptured Aortic Aneurysm in Our Cath Lab
By Abeeda Tasnim Reza, AQM Reza
Presenter
Abeeda Tasnim Reza
Authors
Abeeda Tasnim Reza1, AQM Reza2
Affiliation
Asgar Ali Hospital , Bangladesh1, Evercare Hospital Dhaka, Bangladesh2
View Study Report
CASE20251114_055
Endovascular - Thoracic & Abdominal Aortic Interventions
Life Hanging by a Thread: Managing a Case of Ruptured Aortic Aneurysm in Our Cath Lab
Abeeda Tasnim Reza1, AQM Reza2
Asgar Ali Hospital , Bangladesh1, Evercare Hospital Dhaka, Bangladesh2
Clinical Information
Relevant Clinical History and Physical Exam
A 60-year-old hypertensive, non-diabetic gentleman presented severe low back pain & chest discomfort for 1 day, associated with low grade fever. On physical examination his heart rate was 105 beats per minute & Blood Pressure was 180/110 mm-Hg. He was investigated accordingly with baseline blood test along with infection markers & MRI Thoraco-lumbar spine was done to evaluate his low back pain. MRI showed dissection of the thoracic aorta distal to the left subclavian artery
Relevant Test Results Prior to Catheterization
Echocardiography showed dissection flaps in descending aorta. His CT aortography which confirmed dissection flap of proximal descending thoracic aorta just distal to the left subclavian artery& extending downward to the right common iliac artery. The right renal artery arises from the false lumen & with perfusion defect in right kidney. It was Stanford B & DeBakey Type IIIb.
Relevant Catheterization Findings
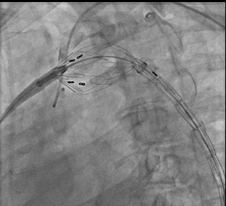
Left femoral artery was exposed & cannulated. Left radial artery access was done. Pigtail catheter was taken through the left radial access & aortography was done to confirm the location of aortic dissection.

MR. MOJIBUR RAHMAN_(S6_F1-87).avi
MR. MOJIBUR RAHMAN_(S27_F1-117).avi

Interventional Management
Procedural Step
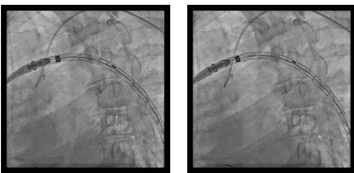
A pigtail catheter was kept in the arch of the aorta for land mark. A guidewire was taken. Then the stent graft was positioned. 32x204 Valiant Thoracic Stent was chosen. It was placed in descending thoracic aorta from arch of the aorta just distal to left subclavian artery covering ruptured dissecting flap atthoracic aorta. After deployment, final aortogram showed ruptured segment of aortic dissection completely sealed with well visualised rest of the thoracic and abdominal aortaand its bifurcation to the lower limb arteries.



MR. MOJIBUR RAHMAN_(S27_F1-117).avi



Case Summary
Meticulous history & clinical suspicion are required for the diagnosis & management of aortic dissection. Heart team approach is necessary. If feasible, timely management with endovascular interventions can save lives.
