Lots of interesting abstracts and cases were submitted for TCTAP 2026. Below are the accepted ones after a thorough review by our official reviewers. Don¡¯t miss the opportunity to expand your knowledge!
CASE20251114_049
Advanced Calcium Modification With LithiX-IVL: A Game Changer in Complex Coronary Interventions
By Ahmad Firdaus Zakaria, Bakhtiar Radzi, Huzairi Sani, Khairul Shafiq Ibrahim, Sazzli Kassim, Abdul Wahab Endok
Presenter
Ahmad Firdaus Zakaria
Authors
Ahmad Firdaus Zakaria1, Bakhtiar Radzi1, Huzairi Sani1, Khairul Shafiq Ibrahim1, Sazzli Kassim1, Abdul Wahab Endok1
Affiliation
UiTM Cawangan Selangor, Kampus Puncak Alam, Malaysia1
View Study Report
CASE20251114_049
Coronary - Complex PCI - Tandem Lesion
Advanced Calcium Modification With LithiX-IVL: A Game Changer in Complex Coronary Interventions
Ahmad Firdaus Zakaria1, Bakhtiar Radzi1, Huzairi Sani1, Khairul Shafiq Ibrahim1, Sazzli Kassim1, Abdul Wahab Endok1
UiTM Cawangan Selangor, Kampus Puncak Alam, Malaysia1
Clinical Information
Relevant Clinical History and Physical Exam
73 years old Malay lady Underlying: Type 2diabetes Mellitus 2.Hypertension 3.Dyslipidaemia 4.H/O Stroke 2021- no residualweakness 5.Atrial fibrillation on NOAC Presented with sudden onset of shortness ofbreath at and chest pain 1 day prior admission a/w diaphoresis. ECG show STdepression over inferiorlateral leads , Troponin : 47. Shewas treated as NSTEMI in decompesated heart failure. She was referred to our center for PCI.


Relevant Test Results Prior to Catheterization
FBC - WBC 15.1/Plt 360/Hb 11.8
RP - urea 5.1/Na 137/creat 62/K 3.9/Cl 101
LFT - Alb 42/total bil 6.7/AST 90/ALT 27 TC: 3.4 LDL : 1.4Hba1c : 7.5
trop T - 47
NTproBNP 4387 ECHO19/5/25: 1. Dilated left ventricular size with moderately abnormal systolicfunction, LVEF is 31%. No significant valvular impairment.
ECHOAPX.mp4
ECHOPLAX.mp4
RP - urea 5.1/Na 137/creat 62/K 3.9/Cl 101
LFT - Alb 42/total bil 6.7/AST 90/ALT 27
trop T - 47
NTproBNP 4387
Relevant Catheterization Findings
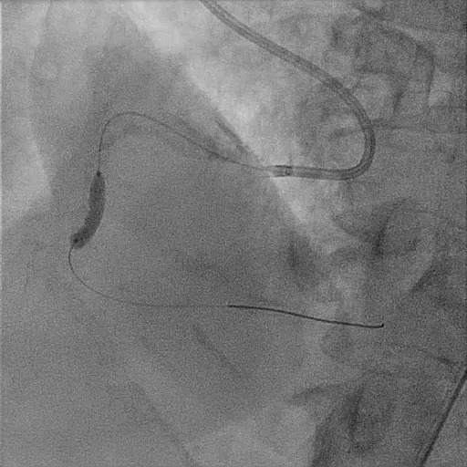
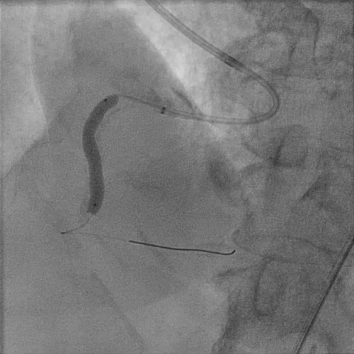
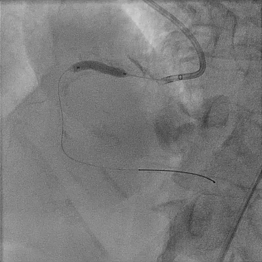
Coronary angiogram : Tortous calcified RCA : 70-90% proximal to distal RCA, LMCA : shortLM, very tortuos vessel LCx : 50% LAD : mLAD 70-80% calcified Right dominant IMP : Triple vassel disease.
RAO.mp4
RCA LAO.mp4
RCA RAO.mp4
Interventional Management
Procedural Step
PCI to RCA ( 2XDES , 2XDCB )
Radial approach. AL guided 6.5 3.5F. Runthrough wire down to distal RCA. predilate 2.5x15mm wire cannot pass stenotic lesion.
Change tp 1.5x15mm ballon to rate burst. Unable to cross IVUS catheter in. Predilate 2.5x15mm wire high pressure. Proceed with Lithix ballon 3.5x14mm preparation from distal to proximal RCA , multiple time ( distal 8atm x 3 , proximal 10-12 atm multiple slow inflation. Post Lithix , angiogram show good TIMI3 flow, mild linear dissection noted , good preparation. We proceed with 1xDCB over distal RCA and 1x DCB over midRCA 4.0X30 at 9atm. Post DCB noted recoil over distal RCA , then proceed with 1XDES 4.0x34 at 12atm at distal RCA. prox RCA treated with 1x DES till ostial RCA 4.0X34mm at 12atm. IVUS run post PCI , good stent expansion and opposition. Angiogram Post stent good TIMI 3 flow , no recoiled , accepted linear dissection . Patient well post PCI discharge well the next day.



Case Summary
The LithiX balloon has demonstrated encouraging outcomes in the management of complex, heavily calcified tandem coronary lesions with tortuous anatomy. In this case, the use of a single LithiX balloon enabled effective modification of multiple calcified segments, facilitating optimal stent expansion and achieving procedural success. Notably, the ability to reuse the same balloon across tandem lesions highlights its potential to reduce procedural costs by minimizing the need for multiple cutting balloons or additional atherectomy devices.
