Lots of interesting abstracts and cases were submitted for TCTAP 2026. Below are the accepted ones after a thorough review by our official reviewers. Don¡¯t miss the opportunity to expand your knowledge!
CASE20251114_035
Beyond Complete Revascularization: Coronary Rejuvenation and Aesthetics in a Young Patient With Diffuse Coronary Artery Disease
By Ahmad Farhan Abdul Hamid
Presenter
Ahmad Farhan Abdul Hamid
Authors
Ahmad Farhan Abdul Hamid1
Affiliation
National Heart Institute, Kuala Lumpur, Malaysia1
View Study Report
CASE20251114_035
Coronary - DES/BRS/DCB
Beyond Complete Revascularization: Coronary Rejuvenation and Aesthetics in a Young Patient With Diffuse Coronary Artery Disease
Ahmad Farhan Abdul Hamid1
National Heart Institute, Kuala Lumpur, Malaysia1
Clinical Information
Relevant Clinical History and Physical Exam
A 43-year-old gentleman sought a second opinion for worsening nocturnal epigastric discomfort. He has hypertension, since 2015, and prior gastritis. Recent investigations at his local hospital revealed a positive early-stage treadmill test and coronary angiography showing three-vessel disease. He declined CABG. Family history is significant for parental ischemic heart disease. He is pre-diabetic. Examination: stable vitals; echocardiogram LVEF 52% with regional abnormalities.



Before1.avi
Before2.avi
Before3.avi



Relevant Test Results Prior to Catheterization
Relevant Catheterization Findings
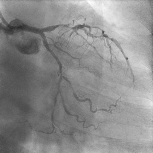
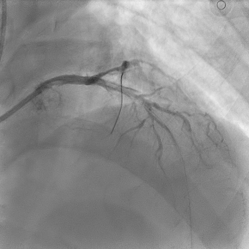
Coronary angiography revealed mild disease of the left main stem. The LAD exhibited severe proximal, mid, and distal disease of a diffuse nature. The LCx demonstrated severe mid–distal disease with a severely stenosed proximal obtuse marginal branch. The dominant RCA showed severe mid-vessel disease with significant involvement of the PL branch.
After1.avi
After2.avi
After3.avi
Interventional Management
Procedural Step
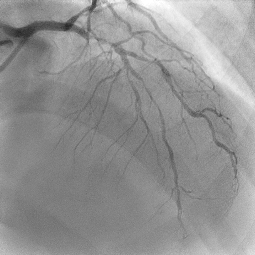
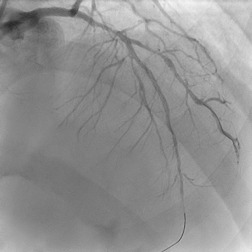
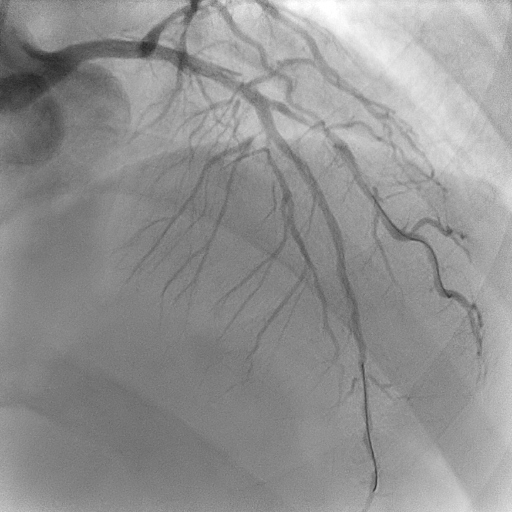
Mid–proximal LAD was sequentially prepared with SC 2.0 balloon and IVUS guidance; distal LAD underwent POBA with SC 1.5 balloon. Lesions in mid LAD and proximal LAD were refined with scoring balloons 2.5/15 and 3.5/15, respectively, treated with DCBs 2.5/30, 2.5/30 and3.5/25. A proximal Type C dissection sealed with a Fantom Encore BRS 3.0/24, post-dilated with NC 3.5/15. LCx and OM prepared with sequential SC balloons 1.5/15 and 2.0/15. Treated with DCBs 2.0/20 at proximal OM and 2.0/30 at LCx. RCA planned for staged angioplasty. Left coronaries were restudied at the time when patient was readmitted for staged angioplasty to RCA, showed excellent results. RCA prepared with POBA to the PL branch with 1.5 SC balloon, scoring balloon 2.5/15 to distal–mid RCA, followed by DCBs 2.75/40 and 3.0/30. A Type A dissection ensued in mid RCA, yet final TIMI III flow achieved.



PreD.avi
Dissection.avi
fantom.avi



Case Summary
The Fantom Encore, a third-generation bioresorbable scaffold, exemplifies the principles of coronary rejuvenation by providing transient arterial support before fully resorbing, thereby preserving natural vasomotion and avoiding the long-term liabilities of permanent metallic implants. In this case, it served as an elegant bail-out for a DCB-related dissection, maintaining the philosophy of the ¡°leave nothing behind¡±. Its radiopaque Tyrocore polymer affords fluoroscopic visibility, enhancing procedural precision and ease of usability. The combined use of DCB and BRS delivered an exquisitely refined final angiographic result, underscoring the pursuit of true coronary aesthetics.
