Lots of interesting abstracts and cases were submitted for TCTAP 2026. Below are the accepted ones after a thorough review by our official reviewers. Don¡¯t miss the opportunity to expand your knowledge!
CASE20251114_028
Stentless Rescue of Organized Coronary Thrombus Using Excimer Laser and DCB
By Kotaro Miyoshi, Kentaro Jujo, Teruhiko Suzuki, Makoto Muto, Takashi Miyamoto
Presenter
Kotaro Miyoshi
Authors
Kotaro Miyoshi1, Kentaro Jujo1, Teruhiko Suzuki2, Makoto Muto2, Takashi Miyamoto2
Affiliation
Saitama Medical Center, Japan1, Saitama Prefectural Cardiovascular and Respiratory Center, Japan2
View Study Report
CASE20251114_028
Coronary - DES/BRS/DCB
Stentless Rescue of Organized Coronary Thrombus Using Excimer Laser and DCB
Kotaro Miyoshi1, Kentaro Jujo1, Teruhiko Suzuki2, Makoto Muto2, Takashi Miyamoto2
Saitama Medical Center, Japan1, Saitama Prefectural Cardiovascular and Respiratory Center, Japan2
Clinical Information
Relevant Clinical History and Physical Exam
A 50-year-old man presented with a 3-month history of exertional chest discomfort. He had no significant past medical history, but reported a 15-year history of cigarette smoking. On admission, he was hemodynamically stable, and physical examination revealed no notable abnormalities. Resting 12-lead ECG showed no ischemic changes, and transthoracic echocardiography demonstrated preserved left ventricular systolic function without regional wall-motion abnormalities.


Relevant Test Results Prior to Catheterization
Coronary computed tomography angiography (CCTA) revealed a focal lesion stenosis in the mid-left anterior descending (LAD) artery, without significant disease in the remaining coronary vessels. Based on these findings, the patient was diagnosed with stable angina and referred for invasive coronary angiography to further characterize the lesion and determine the optimal revascularization strategy.


Relevant Catheterization Findings
Coronary angiography confirmed a hemodynamically significant stenosis in the mid-LAD, consistent with CCTA. OFDI revealed a high-intensity, heterogeneous signal with layered structure and microchannel formation, features suggestive of an organized thrombus rather than a lipid-rich atherosclerotic plaque. This morphology was considered to be associated with a low risk of plaque restenosis and favorable balloon response, making a stent-free strategy a reasonable therapeutic option.




Interventional Management
Procedural Step
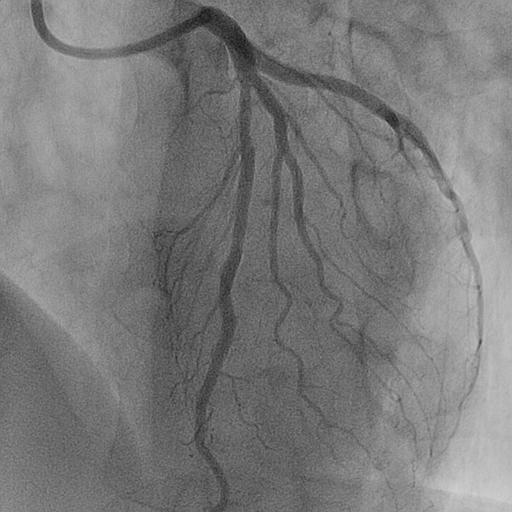
The target mid-LAD lesion was initially treated with excimer laser coronary angioplasty (ELCA) to ablate thrombotic tissue and facilitate subsequent vessel preparation. Following laser irradiation, prolonged low-pressure balloon dilatation was performed to optimize lesion modification and achieve adequate luminal expansion. Subsequently, a paclitaxel-coated drug-coated balloon (DCB) was applied at the treated segment to deliver antiproliferative therapy without stent implantation. Final angiography showed satisfactory luminal gain with TIMI 3 flow, and no evidence of vessel recoil or major dissection. Post-procedural OFDI confirmed a well-expanded lumen with smooth vessel surface, and no significant residual thrombus or flow-limiting dissection. The patient was discharged on dual antiplatelet therapy for 3 months. At 2-year follow-up, CCTA demonstrated sustained vessel patency without restenosis, supporting the long-term durability of this stentless ELCA+DCB strategy.






Case Summary
This case illustrates the feasibility and durable efficacy of a stentless PCI strategy using ELCA followed by DCB for organized thrombus–related coronary stenosis. In this young adult with a layered organized thrombus, a stent-free approach preserved vessel physiology and avoided long-term metallic implantation. ELCA combined with a perfusion balloon enabled thorough lesion preparation, permitting effective DCB therapy without stent placement. The absence of restenosis at 2 years supports the safety and durability of this metal-free strategy in thrombotic lesions with low atherosclerotic burden.
