Lots of interesting abstracts and cases were submitted for TCTAP 2026. Below are the accepted ones after a thorough review by our official reviewers. Don¡¯t miss the opportunity to expand your knowledge!
CASE20251110_005
Adenosine-Induced Coronary Vasospasm During Stress CMR: A Rare Critical Complication
By Jian Hao Sim, Norliza Othman, Gurudevan Mahadevan
Presenter
Jian Hao Sim
Authors
Jian Hao Sim1, Norliza Othman1, Gurudevan Mahadevan2
Affiliation
Hospital Sultanah Aminah, Malaysia1, Hospital Sultanah Aminah , Malaysia2
View Study Report
CASE20251110_005
Coronary - Imaging & Physiology - Non-Invasive Imaging (CTA, MRI, Echo, etc)
Adenosine-Induced Coronary Vasospasm During Stress CMR: A Rare Critical Complication
Jian Hao Sim1, Norliza Othman1, Gurudevan Mahadevan2
Hospital Sultanah Aminah, Malaysia1, Hospital Sultanah Aminah , Malaysia2
Clinical Information
Relevant Clinical History and Physical Exam
A 70-year-old man with hypertension, diabetes, and ischaemic heart disease (post-circumflex stenting), underwent adenosine stress Cardiac Magnetic Resonance Imaging (CMR) for recurrent angina. Two minutes into adenosine infusion (140mcg/kg/min), he had mild chest discomfort that resolved upon infusion cessation. During subsequent rest perfusion imaging, he experienced severe angina, BP 202/95mmHg, requiring test termination and sublingual nitroglycerin. Symptoms resolved with supportive therapy.




Relevant Test Results Prior to Catheterization
WBC 5.7 x 109/L; Hb 14.5 g/dL; Platelet 269 x 109/LNa 140 mmol/L; K 3.8 mmol/L; Cl 107 mmol/L; Urea 4.4 mmol/L; Creatinine 75 umol/LTroponin I < 3.7 ng/L Creatinine kinase 78 U/L --> 70 U/LECG: sinus rhythm.
Relevant Catheterization Findings
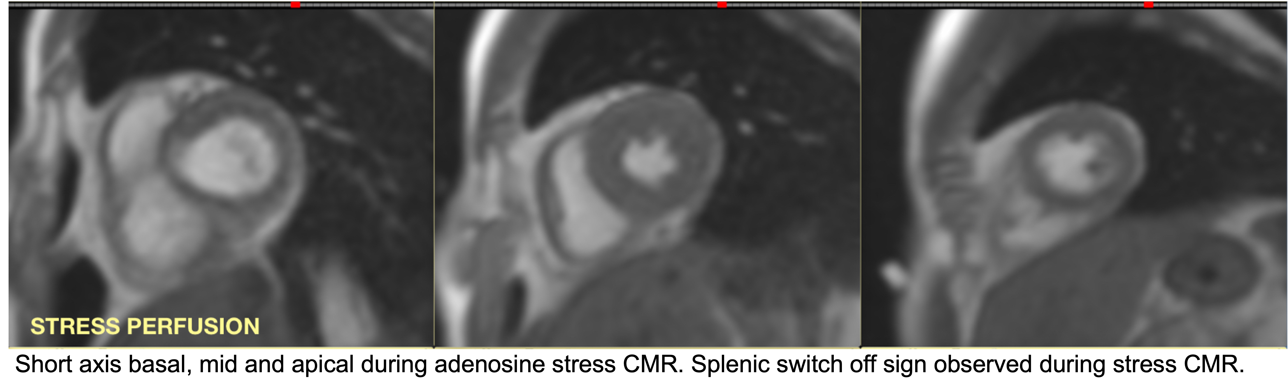
Cardiac magnetic resonance imaging (CMR): rest perfusion CMR demonstrated a mid-anterior hypoperfusion defect, consistent with adenosine-induced coronary vasospasm.

AO vasospasm adenosine.mov

Interventional Management
Procedural Step
Our patient had severe angina with hypertensive urgency during adenosine stress cardiac magnetic resonance imaging (CMR), which resolved with supportive care. Adenosine is a potent coronary vasodilator commonly used in stress CMR and fractional flow reserve (FFR) evaluation. While typically safe, paradoxical coronary vasospasm is an uncommon but significant event, particularly in patients with endothelial dysfunction or variant angina. Proposed mechanisms include rebound vasoconstriction, sympathetic activation, and impaired endothelial response. Recognition is challenging as symptoms may mimic acute coronary syndrome, yet rapid identification and treatment are crucial to avoid adverse outcomes.






Case Summary
This case represents, to the best of our knowledge, the first documented instance of adenosine-induced coronary vasospasm in Malaysia and Southeast Asia. This serious paradoxical reaction underscores the need for clinician vigilance during adenosine stress testing and highlights the necessity for further research to improve risk stratification and preventive strategies.
