Lots of interesting abstracts and cases were submitted for TCTAP 2026. Below are the accepted ones after a thorough review by our official reviewers. Don¡¯t miss the opportunity to expand your knowledge!
CASE20251110_004
Kinked Radial Catheter Requiring Snare Retrieval: A Case Report
By Lup Yik Leong, Lay Koon Tan
Presenter
Lup Yik Leong
Authors
Lup Yik Leong1, Lay Koon Tan1
Affiliation
Institut Jantung Negara, Malaysia1
View Study Report
CASE20251110_004
Coronary - Complication Management
Kinked Radial Catheter Requiring Snare Retrieval: A Case Report
Lup Yik Leong1, Lay Koon Tan1
Institut Jantung Negara, Malaysia1
Clinical Information
Relevant Clinical History and Physical Exam
72 years old lady with background history of coronary artery disease, hypertension, dyslipidaemia, allergic rhinitis, dyspepsia presented with reduced effort tolerance for 3 months. Denies chest pain, lower limb swelling or paroxysmal nocturnal dyspnea. NYHA 2. No cardiac murmur, no crepitations, normal jugular venous pressure and no pedal edema on examination.




Relevant Test Results Prior to Catheterization
Creatinine 78 eGFR 65, TroponinT 6, proBNP 64 pg/mlEchocardiogram showed Ejection Fraction 53%, with hypokinesia mid and basal posterior, basal septal, mid and basal inferior segments.A PET-CT Cardiac showed moderate area of non-transmural infarcted myocardial segments with a small area of peri-infarcted stress induced ischaemia in the left circumflex/ right coronary artery territories. A diagnostic coronary angiography was performed in view of PET-CT Cardiac findings






Relevant Catheterization Findings
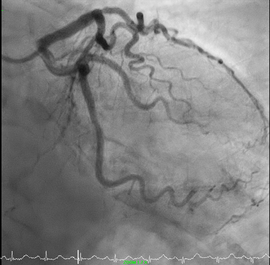
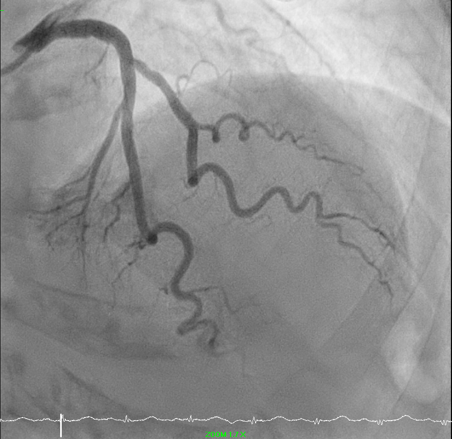
Coronary angiography showed complete total occlusion of right posterior left ventricular branch with collaterals from left system and moderate disease of first diagonal.






Interventional Management
Procedural Step
Right radial pulse was not strong. Ultrasound revealed a small right radial artery. Decided for left radial artery approach. Single puncture successful with ultrasound guidance. Optitorque 5FR catheter. Left coronary angiogram images obtained.



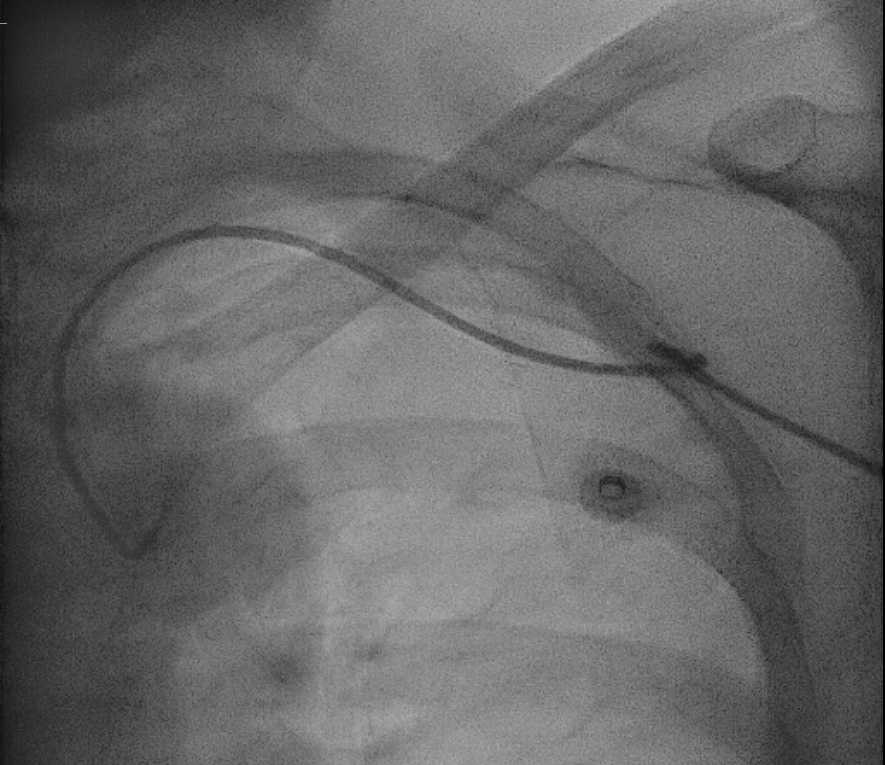
LeftRadialkink.mpg
SnareUntwist.mpg
compresselbow.mpg
While attempting to engage right coronary artery, noted loss of pressure.
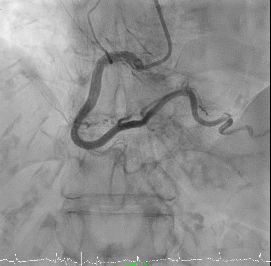
Catheter kinked in a figure of 8 position around left subclavian area.
Attempted to unkink by untwisting with 0.035" J tip guidewire support of failed.
Kinked part of catheter brought down to left arm area and attempted to unkink with inflated cuff and compression was not successful as well.
Right femoral puncture and Snare Amplatz Goose Neck 20mm advanced to distal tip of catheter.
Distal tip of catheter was snared and manage to unkink catheter.
Optitorque 5FR catheter successfully removed from left radial sheath.
Right femoral closed with Perclose Prostyle 6FR.
Patient was observed overnight without any complications and discharged well the following day.



Case Summary
This case highlights severe kinking of a radial guiding catheter as an important complication of transradial intervention. Recognition of resistance and poor torque response should alert the operator for early catheter withdrawal. Percutaneous snaring is a safe and effective retrieval strategy after failure of other maneuvers that avoids surgical intervention. Operator awareness of catheter behaviour, torque control and escalation of retrieval techniques are of the utmost importance to ensure procedural safety and also to preserve radial access integrity.
