Lots of interesting abstracts and cases were submitted for TCTAP 2026. Below are the accepted ones after a thorough review by our official reviewers. Don¡¯t miss the opportunity to expand your knowledge!
CASE20251108_001
'HONEY' I Bought From TikTok Gave Me MI
By Siew Hoon Ong, WeiJuan Lim
Presenter
Siew Hoon Ong
Authors
Siew Hoon Ong1, WeiJuan Lim 1
Affiliation
National Heart Institute , Malaysia1
View Study Report
CASE20251108_001
Coronary - ACS/AMI
'HONEY' I Bought From TikTok Gave Me MI
Siew Hoon Ong1, WeiJuan Lim 1
National Heart Institute , Malaysia1
Clinical Information
Relevant Clinical History and Physical Exam
29 year-old man, active vaper, no known medical illness, presented to General Hospital with acute onset of left sided chest pain, radiated to the left upper limb. ECG showed ST elevation I, II,III, AVF and AVL without posterior involvement. He was diagnosed to have acute inferior Myocardial Infarction and referred to our center for primary PCI.On arrival to Emergency department, he was relatively comfortable. BP: 129/60. HR 110bpm, SPO2 100% under room air. CVS Dual rhythm no murmur Lungs clear


Relevant Test Results Prior to Catheterization
Echocardiogram : LVEF 59%, no regional wallmotion abnormalities. No dissection flap at the aortic root .
echo.mpg
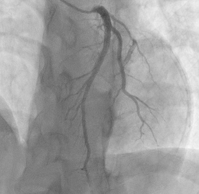
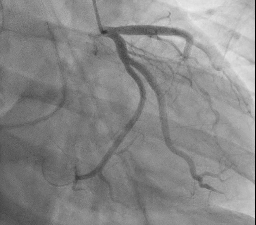
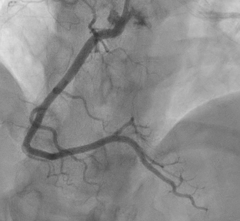
Relevant Catheterization Findings
Proceeded with Primary PCI that revealed normal coronaries with mid LAD myocardial bridging . ST elevation resolved in cath lab.






Interventional Management
Procedural Step
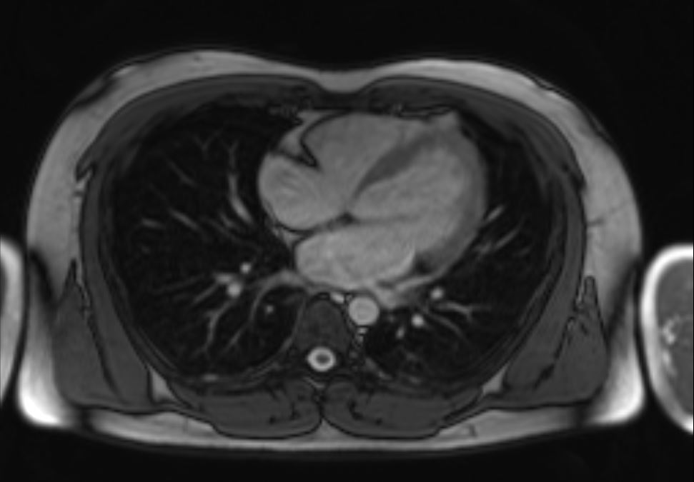
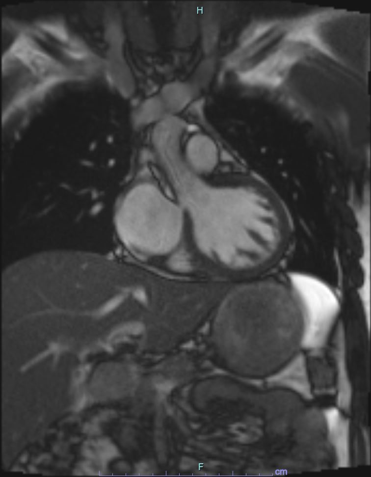
Further history revealed that he had brief flulike symptoms prior to onset of chest pain. He added he also recently consumed ¡®Honey¡¯ that he purchased from social media- Tik Tok. Further investigation revealed that there the purchased botanical honey contained kratom in its ingredient. Blood investigation showed rise of creatinine kinase from 562 U/l to 583 U/l as well as troponin T from 762 pg/ml to 875 pg/ml. Due to the nature of his diagnosis of MINOCA, a cardiac MRI was done, however showed absence of myocardial inflammation, edema, fibrosis or infiltration.




Case Summary
Kratom (Mitragynaspeciosa), also goes by the name Ketum, is a medicinal plant indigenous to the Southeast Asia that is traditionally used as an energy booster, mood lifter and pain reliever. Possible cardiovascular effects include ventricular arrhythmia, myocarditis and even cardiopulmonary arrest. Although numerous scientific studies indicate that kratom has several pharmacological usages and potential, its toxicity profile remains insufficiently understood especially on its effect on the cardiovascular outcome. Addressing these research gaps is imperative to ensure the safety use of kratom in therapeutic contexts.
