Lots of interesting abstracts and cases were submitted for TCTAP 2026. Below are the accepted ones after a thorough review by our official reviewers. Don¡¯t miss the opportunity to expand your knowledge!
CASE20251107_008
Live IVUS (Step by Step) for Absolute Zero Contrast PCI
By Pankaj Manoria
Presenter
Pankaj Manoria
Authors
Pankaj Manoria1
Affiliation
Manoria Hospital Bhopal , India1
View Study Report
CASE20251107_008
Coronary - Imaging & Physiology - Invasive Imaging (IVUS, OCT, NIRS, VH, etc)
Live IVUS (Step by Step) for Absolute Zero Contrast PCI
Pankaj Manoria1
Manoria Hospital Bhopal , India1
Clinical Information
Relevant Clinical History and Physical Exam
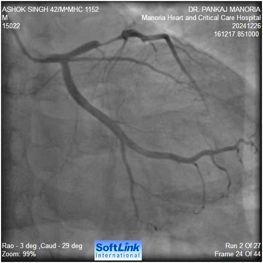
53/ M presented with unstable angina Echo showed normal LV function He had raised serum creatinine 2.5 mg % and eGFR was 18 CAG showed a single vessel disease with proximal LAD 90 % stenosis plan was to do a absolute zero contrast PCI using LIVE IVUS technique

Run2.avi

Relevant Test Results Prior to Catheterization
Relevant Catheterization Findings
Interventional Management
Procedural Step
llllStep 1: Take 8F guiding catheter Step 2 : No contrast puffing for catheter Engagement . You can confirm catheter engagement by 3 ways Step 3 : Take 2 wires. No contrast puffing for wiring . Use reference image as rodemap Step 4 : Stent Sizing By IVUS Step 5 : Park the IVUS in the proximal landing zoneStep 6 : Take the stent on another wire & place it exactly side by side to the IVUS (which is the proximal landing zone already marked by the IVUS)..Step 7 : Confirm the landing zone again by doing live IVUS with the stent side by side.Step 8 : Pull the IVUS and its wire. Step 9 : Deploy the stent.



4.wmv
5.wmv
wiribg.avi
h 4.0 mm balloonas decided



Case Summary
1. 8F guide preferably
2. The bed should be aggressively prepared
3. The IVUS catheter should never be jailed.
4. Take the IVUS first and then the stent
5.Do not try this technique in small arteries < 2.5 mm and in severely tortuous calcified vessels
