Lots of interesting abstracts and cases were submitted for TCTAP 2026. Below are the accepted ones after a thorough review by our official reviewers. Don¡¯t miss the opportunity to expand your knowledge!
CASE20251106_049
An Unusual Case of Left Main Occlusion During TAVI: PCI to the Rescue
By Mukesh Jitendra Jha
Presenter
Mukesh Jitendra Jha
Authors
Mukesh Jitendra Jha1
Affiliation
LPS Institute of Cardiology, India1
View Study Report
CASE20251106_049
Structural - Aortic Valve Intervention - Valve in Valve TAVR
An Unusual Case of Left Main Occlusion During TAVI: PCI to the Rescue
Mukesh Jitendra Jha1
LPS Institute of Cardiology, India1
Clinical Information
Relevant Clinical History and Physical Exam
Elderly gentleman presented with shortness of breath.He underwent AVR with SJM biocor 15 years back. He also had accompanying angina for which he consulted us and diagnosed with severe aortic regurgitation



MOVIE-0006.mp4
MOVIE-0005.mp4



Relevant Test Results Prior to Catheterization
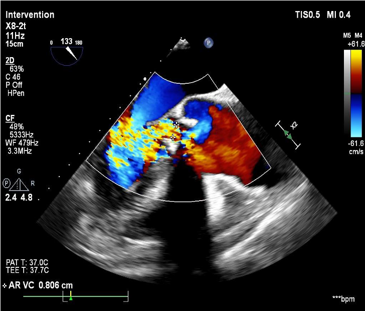
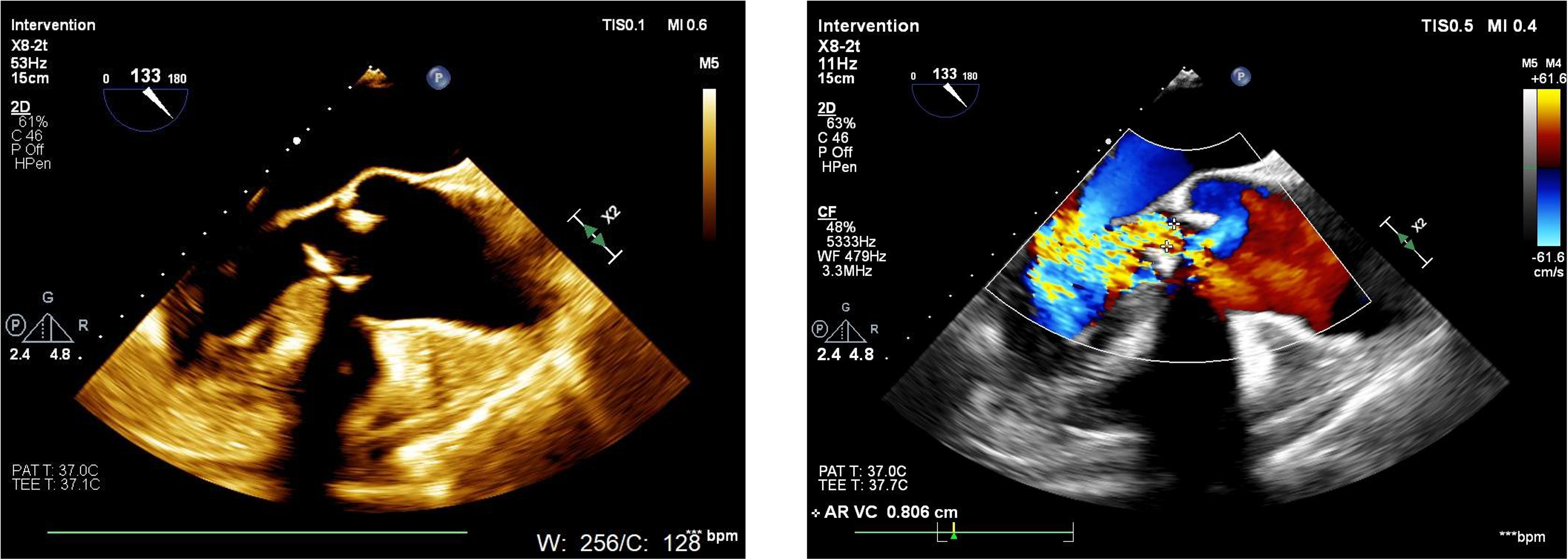
2D echo suggestive of severe aortic regurgitation. CT analysis done and we decided to opt for 24mm TAVR valve



video 3.mp4



Relevant Catheterization Findings
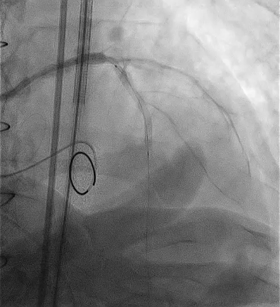
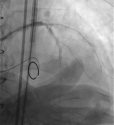
SEV 24mm. was deployed and during reheathing patient developed circulatory collapse.



video 4.mp4
video 5.mp4
video 6.mp4



Interventional Management
Procedural Step
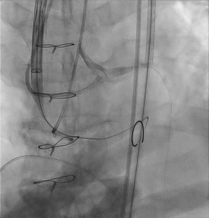
SEV 24 mm was chosen based on CT measurement and bifemoral access was obtained. Carotid filter was placed for cerebral protection.During resheathing of the valve there was sudden circulatory collapse. CPR started and left coronary catheterisation revealed occlusion of left main. Flow was established in LAD with immediate wiring and ballooning. Finally TAVR valve was deployed after LAD flow was established.LCX flow was then resolved and LM bifurcation PCI was done using crush technique Patient was finally discharged in hemodynamically stable condition.



video 4.mp4
video 5.mp4
video 6.mp4



Case Summary
In structural interventions, expect the unexpected — readiness defines outcomes.
Have a protocol for hypotension and cardiac arrest during TAVR
During valve in valve especially when using SEV avoid multiple attempts at valve deployment
Timely diagnosis, team coordination, and prompt PCI transformed a coronary catastrophe into a success story.
