Lots of interesting abstracts and cases were submitted for TCTAP 2026. Below are the accepted ones after a thorough review by our official reviewers. Don¡¯t miss the opportunity to expand your knowledge!
CASE20251106_023
A Case Report: Staged Revascularization in a Patient With Delayed Presentation of Acute Myocardial Infarction
By Yuta Nishimura, Yoshitomo Tsutsui, Kiwamu Sudou, Kouta Tanaka, Tomohiro Yamasaki, Satoshi Watanabe, Mutsumi Iwamoto, Atsunori Okamura, Heitarou Watanabe
Presenter
Yuta Nishimura
Authors
Yuta Nishimura1, Yoshitomo Tsutsui1, Kiwamu Sudou1, Kouta Tanaka1, Tomohiro Yamasaki1, Satoshi Watanabe1, Mutsumi Iwamoto1, Atsunori Okamura1, Heitarou Watanabe1
Affiliation
Sakurabashi Watanabe Advanced Healthcare Hospital, Japan1
View Study Report
CASE20251106_023
Coronary - ACS/AMI
A Case Report: Staged Revascularization in a Patient With Delayed Presentation of Acute Myocardial Infarction
Yuta Nishimura1, Yoshitomo Tsutsui1, Kiwamu Sudou1, Kouta Tanaka1, Tomohiro Yamasaki1, Satoshi Watanabe1, Mutsumi Iwamoto1, Atsunori Okamura1, Heitarou Watanabe1
Sakurabashi Watanabe Advanced Healthcare Hospital, Japan1
Clinical Information
Relevant Clinical History and Physical Exam
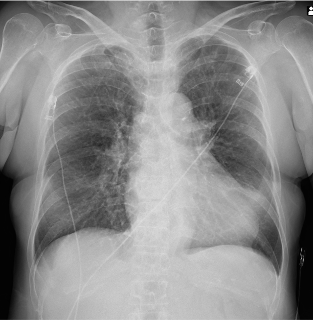
A 66-year-old woman with a history of hypertension and smoking presented with a two-day history of exertional dizziness and general fatigue. On admission, her blood pressure was 93/58 mmHg, and heart rate was 52 bpm. SpO2 was maintained on room air.




Relevant Test Results Prior to Catheterization
A 12-lead ECG showed ST-segment elevation with abnormal Q waves in leads II, III, and aVF, and Mobitz type II AV block was observed. Laboratory tests revealed significantly elevated cardiac biomarkers, with troponin T at 4.289 ng/mL, CK at 1480 U/L, and CK-MB at 46 U/L. Transthoracic echocardiography demonstrated hypokinesis of the inferior wall of the left ventricle and moderate mitral regurgitation. Right ventricular systolic function remained preserved.
Relevant Catheterization Findings
Interventional Management
Procedural Step
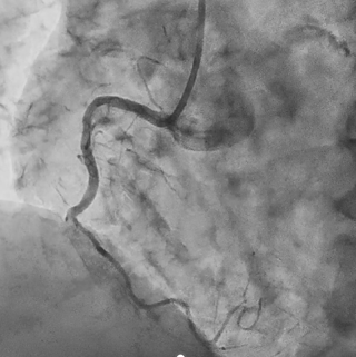
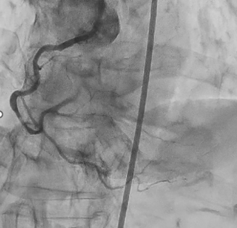
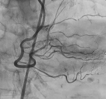
Coronary angiography revealed 100% occlusion of the right coronary artery (RCA) at segment #2, with collateral flow from the left anterior descending artery. The RCA was identified as the culprit lesion, and percutaneous coronary intervention (PCI) was planned. Engagement of the left coronary artery was achieved using a 7 Fr Launcher AL0.75 SH guiding catheter, and the lesion was crossed with a SION guidewire. A large amount of thrombus was observed in the coronary artery; therefore, thrombus aspiration followed by long balloon inflation using a 2.5 mm Ryusei balloon was performed. Although TIMI grade 1 flow remained in the #4PL branch due to residual thrombus, TIMI grade 3 flow was obtained in the #3–#4PD segments. The procedure was completed after intra-aortic balloon pump (IABP) insertion. After treatment for heart failure, coronary computed tomography performed on hospital day 21 showed thrombotic occlusion of the #4PD branch, for which a short course of direct oral anticoagulant (DOAC) therapy was initiated. Repeat coronary angiography on hospital day 33 demonstrated improved flow, although 99% stenosis persisted in the #4PL branch. As the RCA #2 lesion was identified as the culprit of acute myocardial infarction, a drug-eluting stent (Ultimaster Nagomi 3.0 ¡¿ 44 mm) was deployed in segment #2, and balloon dilation using an Agent 2.0 ¡¿ 30 mm balloon was performed for the #4PL branch, achieving successful revascularization.



CAG.mp4
PCI 1st.mp4
PCI 2nd.mp4



Case Summary
This case demonstrates that staged revascularization is an effective strategy for acute myocardial infarction with high thrombus burden. Initial thrombus aspiration and balloon angioplasty, followed by delayed drug-eluting stent implantation after heart failure treatment, improved coronary flow. Careful evaluation using coronary CT and repeat angiography, along with a short course of direct oral anticoagulants (DOAC), aided thrombus management and led to favorable outcomes. This staged approach may benefit patients with delayed acute myocardial infarction presentation and complex thrombotic lesions, serving as a reference for similar cases.
