Lots of interesting abstracts and cases were submitted for TCTAP 2026. Below are the accepted ones after a thorough review by our official reviewers. Don¡¯t miss the opportunity to expand your knowledge!
CASE20251106_004
IVL In Heavily Calcific Complex Coronary Artery Diseases
By Bipin Dubey
Presenter
Bipin Dubey
Authors
Bipin Dubey1
Affiliation
Max Hospital, India1
View Study Report
CASE20251106_004
Coronary - Complex PCI - Calcified Lesion
IVL In Heavily Calcific Complex Coronary Artery Diseases
Bipin Dubey1
Max Hospital, India1
Clinical Information
Relevant Clinical History and Physical Exam
•74Year old Male
•KnownCase of Diabetes Mellitus, Hypertension for the past 20 years
•Coronary Artery Disease Calcific DVD advised CABG was adviced 2.5 years back
•Presentedwith Non ST Elevated Myocardial Infarction



Relevant Test Results Prior to Catheterization
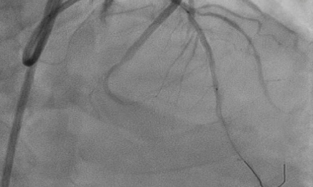
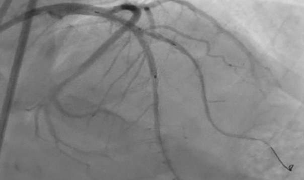
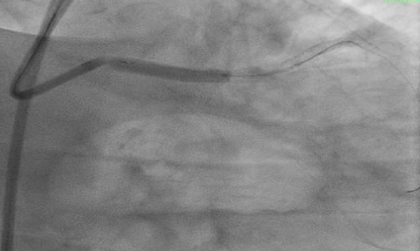
Relevant Catheterization Findings
Interventional Management
Procedural Step
1) Proximal Left Anterior Descending artery's pre analysis done with OCT.2) Calcium arc on OCT displayed as 360 degrees with 800 micron thickness and length greater then 5mm with minimum Lumen Area of 1.83mm3) Intravascular Lithotripsy performed with focus on proximal Left Anterior Descending Artery4) Post Intravascular Lithotripsy procedure, Optical Coherence Tomography was performed5) The lumen gain obtained post procedure was equivalent to 5.24mm6) Stenting done7) LCX ostium with tight lesion with heavy calcification pre dilated with NC balloon and two stents placed.






Case Summary
Imaging plays a major role in choosing the correct modality for dealing with heavily calcified lesion. IVL gives the result while dealing with superficial to deep calcium. The nodular calcium at LCX ostium can be managed with NC balloon and stenting.
