Lots of interesting abstracts and cases were submitted for TCTAP 2026. Below are the accepted ones after a thorough review by our official reviewers. Don¡¯t miss the opportunity to expand your knowledge!
CASE20251105_018
Let's Keep It Stentless
By Nur Hazurreen Harryzan, Ng Wee Pang, Kim Heng Shee
Presenter
Nur Hazurreen Harryzan
Authors
Nur Hazurreen Harryzan1, Ng Wee Pang1, Kim Heng Shee1
Affiliation
Cardiology Department Hospital Sultanah Aminah, Malaysia1
View Study Report
CASE20251105_018
Coronary - Complex PCI - CTO
Let's Keep It Stentless
Nur Hazurreen Harryzan1, Ng Wee Pang1, Kim Heng Shee1
Cardiology Department Hospital Sultanah Aminah, Malaysia1
Clinical Information
Relevant Clinical History and Physical Exam
A 67 YEAR OLD MALAY GENTLEMAN, EX SMOKER WITH UNDERLYING HYPERTENSION, DYSLIPIDEMIA AND PSORIASIS WAS SEEN IN OUR CARDIOLOGY CLINIC FOR CHRONIC STABLE ANGINA. HOWEVER FOR THE PAST 4 MONTHS HE HAS BEEN HAVING RECURRENT ANGINA AND WAS ADMITTED MULTIPLE TIMES FOR UNSTABLE ANGINA.


Relevant Test Results Prior to Catheterization
REPEATED ECG IN WARD SHOWED SINUS RHYTHM WITH NO ISCHEMIC CHANGES. ECHOCARDIOGRAPHY SHOWED GOOD LV FUNCTION WITH EF 60%, NO REGIONAL WALL MOTION AKINESIA. VALVES AND CHAMBERS ARE NORMAL. IN VIEW OF RECURRENT ADMISSIONS FOR CHEST PAIN, HE WAS THEN SCHEDULED FOR CORONARY ANGIOGRAM.
Relevant Catheterization Findings
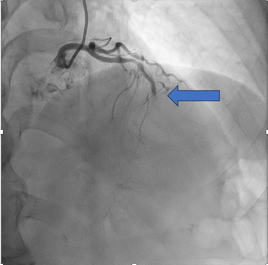
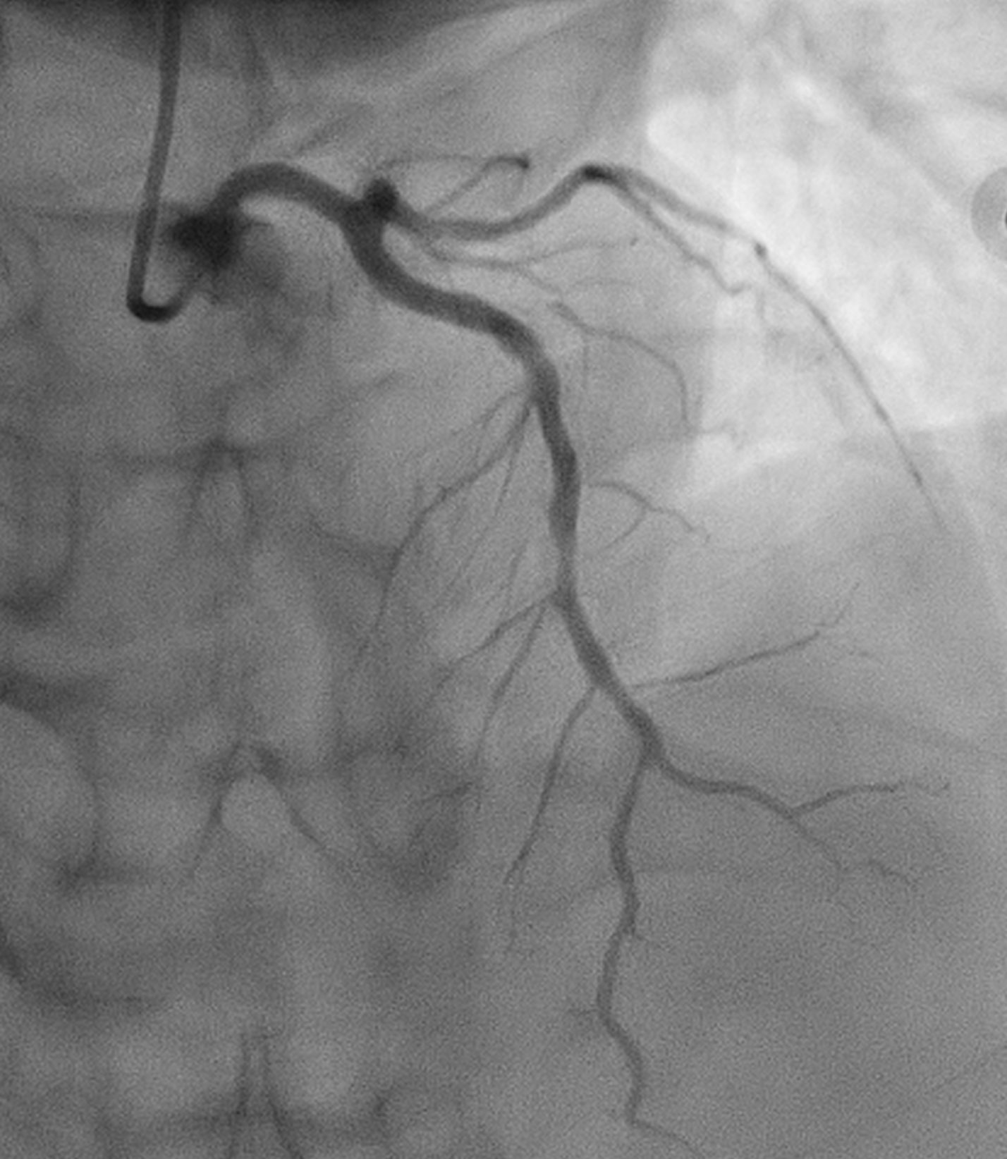
CORONARY ANGIOGRAM REVEALED CHRONIC TOTAL OCCLUSION AT THE MID LEFT ANTERIOR DESCENDING ARTERY (MLAD) WITH COLLATERALS FROM RIGHT CORONARY ARTERY. OTHER CORONARIES ARE NORMAL.



cto lad.mov
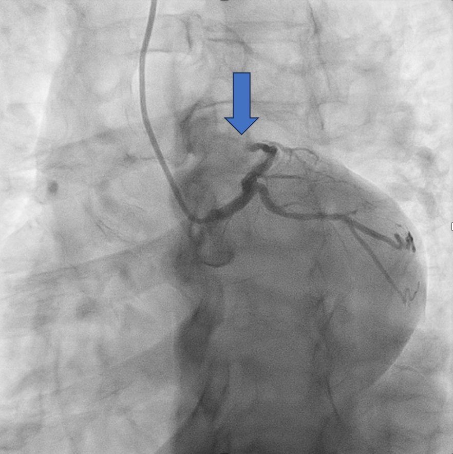
dual shot rao cranial.mov



Interventional Management
Procedural Step
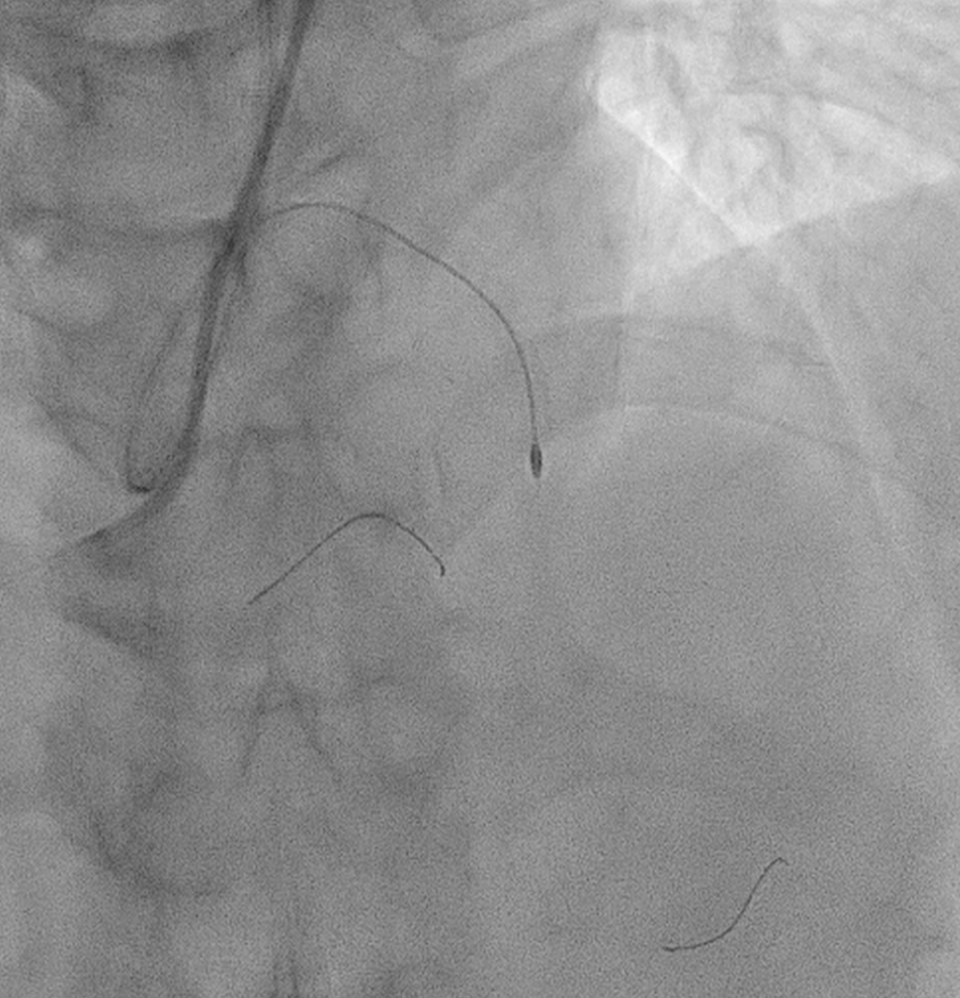
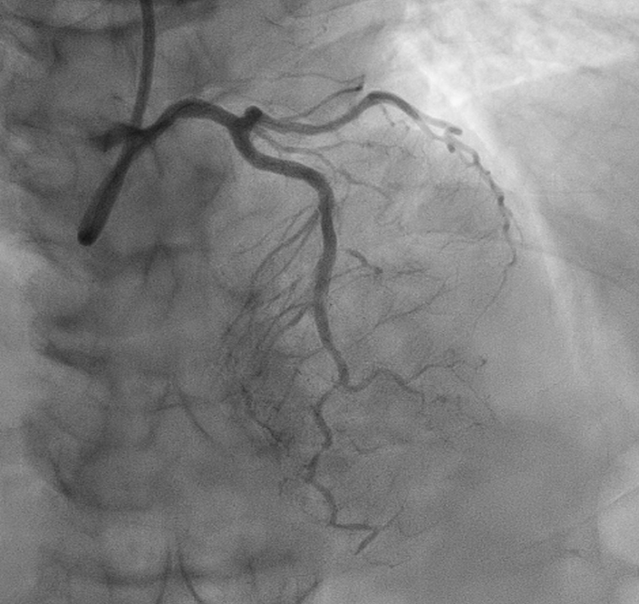
WE DECIDED TO INTERVENE THE CTO MLAD IN VIEW PERSISTENT ANGINA. BILATERAL RADIAL ARTERY PUNCTURE, WITH ANTEGRADE APPROACH. WE ENGAGED RIGHT CORONARY ARTERY WITH JR4 6 FR AND WIRED DOWN WITH RUNTHROUGH FLOPPY. ENGAGED THE LEFT CORONARY ARTERY WITH EBU 3.5 7FR. INITIALLY TRIED TO WIRE THE LAD WITH FINECROSS MICROCATHER (MC) USING SION BLACK WIRE BUT FAILED. SUBSEQUENTLY CHANGED TO GAIA 1ST AND MANAGED TO CROSS SUCCESSFULLY. IVUS SHOWED 360 DEGREE CALCIFICATION WITH 270 DEGREE CALCIFICATION MORE THAN 5 MM, IVUS CALCIUM SCORE 2. CALCIUM DEBULKING WAS DONE USING ROTABLATION WITH 1.5 BURR RUN 3 TIMES AT 220 KRPM FOR 10 SECS AND POLISHING RUN TWICE AT 140 KRPM. POST ROTA SHOWED PRESENCE OF FRACTURED CALCIUM WITH REVEBERATION SIGN. LESIONS WAS PREPARED FURTHER USING WOLVERINE 3.0 X 10MM AND 3.5 X 10MM. POST CUTTING BALLOON SHOT SHOWED NO DISSECTION, TIMI 3 FLOW AND RESIDUAL STENOSIS 30%. DECIDED FOR DCB WITH PANTERA LUX 3.0 X 20MM AND AGENT 3.50 X 30MM. FINAL SHOT SHOWED TIMI3 FLOW, NO DISSECTION SEEN. PATIENT REMAIN ASYMPTOMATIC AT 6 MONTHS AND REPEATED COROS SHOWED MODERATE STENOSIS AT MLAD WITH NEGATIVE FFR (0.92).



post 2nd dcb.mov
post 6months.mov



Case Summary
THE MAIN AIM TO INTERVENE THE CTO IS MAINLY TO IMPROVE SYMPTOMS.J CTO SCORE WAS 1 AND IVUS CALCIUM SCORE WAS 2. PROPER ARTHERECTOMY WAS DONE WITH ROTABLATION AND CUTTING BALLOON. POST LESION PREPARATION SHOWED NO DISSECTION,TIMI 3 FLOW AND RESIDUAL STENOSIS < 30%. HE HAS CALCIFIED LESION WHICH PREDISPOSE TO ISR OR STENT THROMBOSIS IN FUTURE.HENCE DCB WAS CHOSEN.SIX MONTHS POST INTERVENTION SHOWED MODERATE STENOSIS AT MLAD WITH NEGATIVE FFR VALUE (0.92) AND PATIENT REMAIN ASYMPTOMATIC. ROLE OF DCB IS NOT WELL ESTABLISHED IN CTO AND CALCIFIED LESION. THIS CASE SHOWED THE OUTCOME OF DCB IN CTO CALCIFIED LESION AFTER PROPER VESSEL PREPARATION.
