Lots of interesting abstracts and cases were submitted for TCTAP 2026. Below are the accepted ones after a thorough review by our official reviewers. Don¡¯t miss the opportunity to expand your knowledge!
CASE20251105_003
Recurrent Acute Coronary Syndrome Treated in Different Ways
By Liang-Ting Chiang
Presenter
Liang-Ting Chiang
Authors
Liang-Ting Chiang1
Affiliation
Fu Jen Catholic University Hospital, Taiwan1
View Study Report
CASE20251105_003
Coronary - ACS/AMI
Recurrent Acute Coronary Syndrome Treated in Different Ways
Liang-Ting Chiang1
Fu Jen Catholic University Hospital, Taiwan1
Clinical Information
Relevant Clinical History and Physical Exam
This 69-year-old non-smoking woman had right breast cancer, who received surgery, radiotherapy, and hormone therapy (Letrozole) by breast surgeon. She also has hypertension, without DM or hyperlipidemia. She suffered from STEMI with acute chest pain in Dec, 2022, that PCI was performed. Letrozole was stopped for a possible relationship with the AMI, although it was 17 months since the hormonetherapy started. Letrozole was rechallenged in July, 2023, and another NSTEMI took place in Oct, 2023.






Relevant Test Results Prior to Catheterization
The CPK peaked to be 1250 IU/L after 1stPCI, with CK-MB 174.2 IU/L and hs-Troponin I 41.719 ng/mL. The lab showed no DM (HbA1c 5.5%), hyperlipidemia (LDL 64, HDL 50, TG 61 mg/dL), or CKD (Cre 0.7 mg/dL). The echocardiography showed mildly impaired LV contractility (LVEF 59.5% by Teich, 46.1% by A-L) with hypokinesia over LAD territory. The ECG showed new ischemia after 1st PCI later, before 2nd PCI. The LAB of the NSTEMI episodes showed CPK233 IU/L, CK-MB 14.5 IU/L, and hs-Troponin I 4.599 ng/mL
ECHO_STEMI_01.avi
ECHO_STEMI_02.avi
Relevant Catheterization Findings
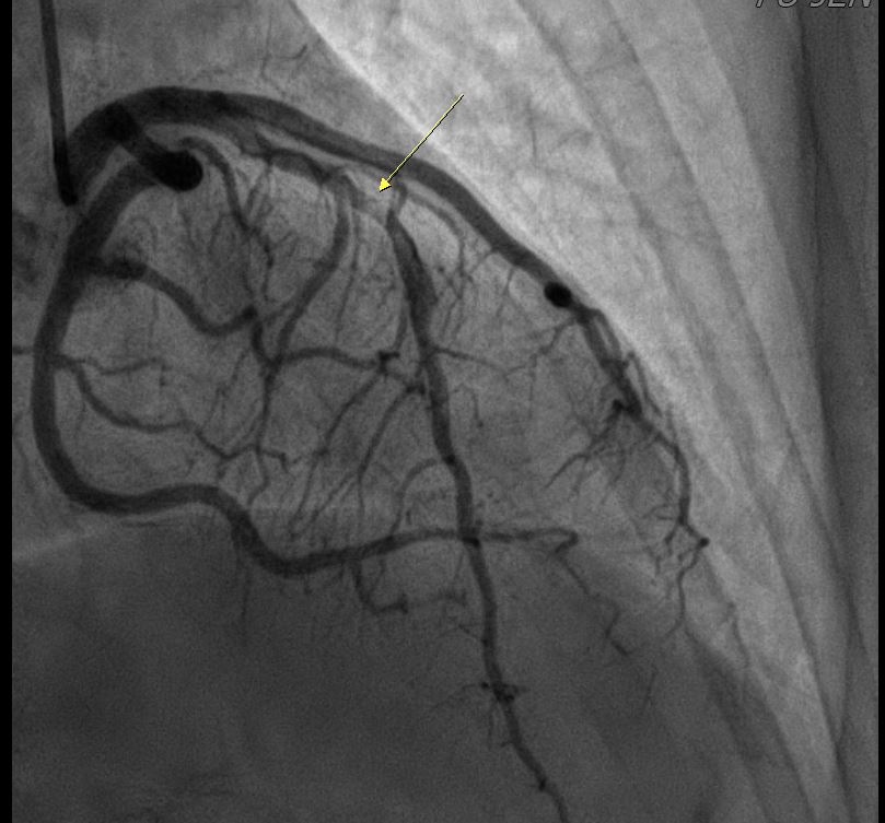
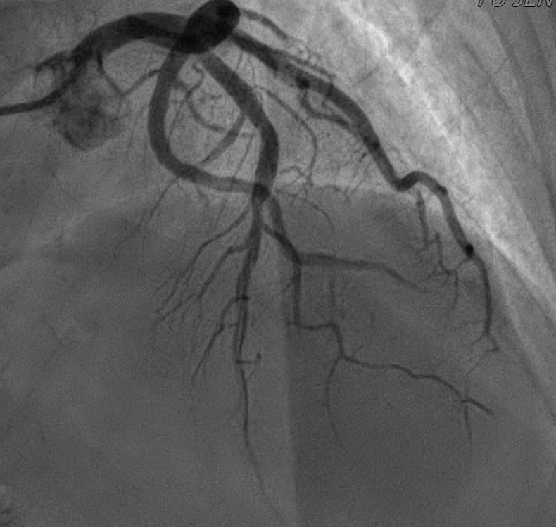
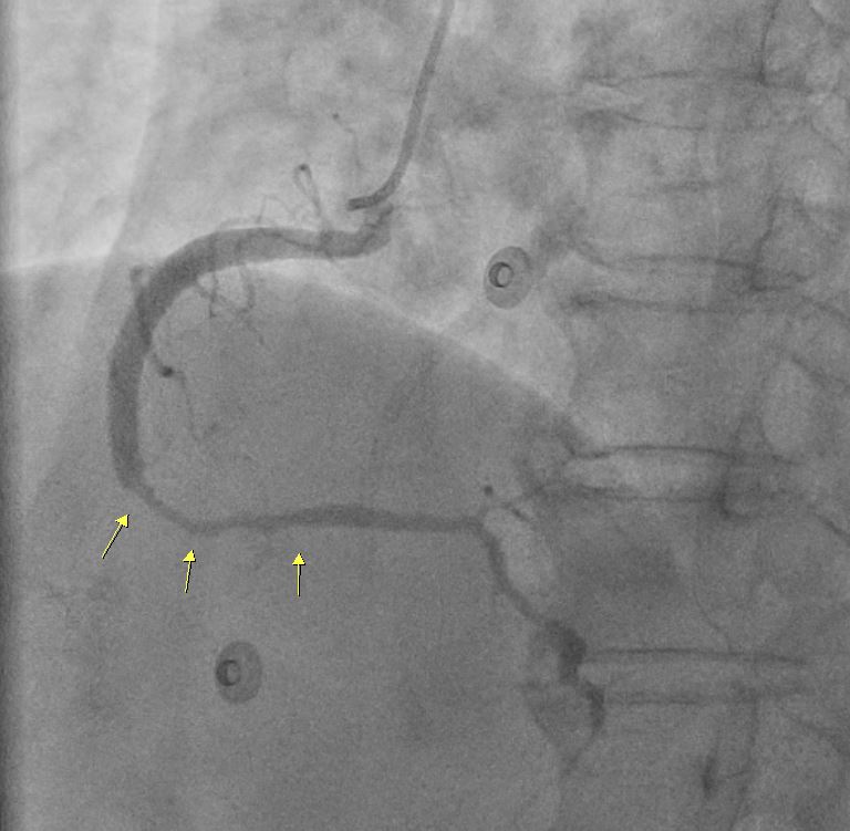
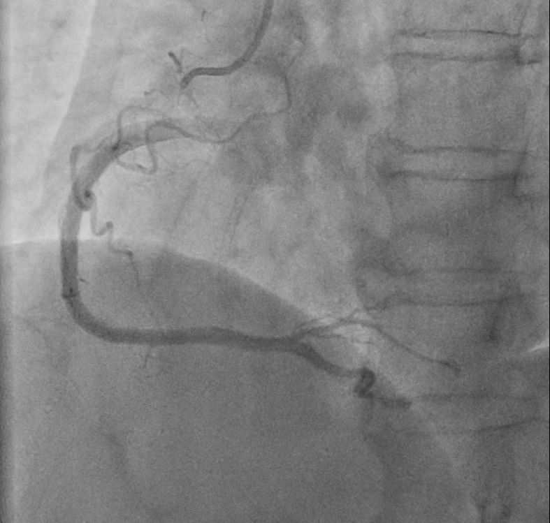
In the STEMI episode, in Dec, 2022, the LCX and RCA were patent. There were multiple odd stenotic lesions with in mid LAD, with some haziness suggested limited contrast filing. Six days after PCI, there was dissection flap, extending beyond previous angioplasty, with limited flow in LAD, compatible with the unstable ECG changes. In the NSTEMI episode, in Dec, 2022, the LAD was stationary without restenosis. But the RCA for new log lesion at segment 2 to segment 3.



10.avi
210.avi
202310RCA.avi



Interventional Management
Procedural Step
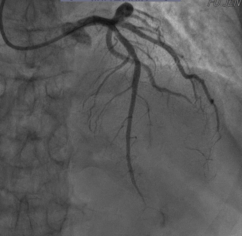
1st PCI for STEMI 1. The odd LAD lesion was checked by IVUS,revealing coronary dissection in mid LAD. 2. Angioplasty was performed with a 2.75*10mm Wolverine cutting balloon up to 8A10¡±, with fair LAD flow. --2nd PCI for recheck and unstable ECG findings 1. For dissection flap extending to distal LAD, wiring with a Sion wire was performed carefully. 2. Check IVUS to confirm true-lumen wiring and the extension of the dissection. Intimal flap and large burden of sub-intimal hematoma were noted. 3. Angioplasty with a 2.0*20mm balloon catheter, but with poor distal flow. 4. Long stenting to mid-to-distal LAD according to IVUS findings, with Onyx 2.0*26mm and Onyx 2.5*30mm 5. Angioplasty with a 1.5*20mm balloon catheter for distal run-off, 4A10¡± 6. Post-stenting dilatation with a 2.5*10mm balloon catheter, 4A10", low pressure considering the sub-intimal hematoma 7. Check final IVUS: The stents were well apposed. The proximal sub-intimal hematoma was not fully covered due to the vessel-size discrepancy. 8. The final flow was fair --3rd PCI for NSTEMI 1. For the un-reasonable rapid progression of the RCA lesion, I checked IVUS and coronary dissection was noted again. 2. No PCI was performed thereafter due to acceptable blood flow. --4th cath half years later The LAD was stationary and the RCA lesion was totally resolved.



IVUS-A0.avi
2024LAD.avi
2024RCA.avi



Case Summary
We demonstrated a patient with little risk of CAD, who suffered from STEMI and NSTEMI. Spontaneous coronary artery dissection(SCAD) in LAD was noted during 1st ACS episode, which was treated with scoring balloon with unsatisfactory result, leading to long-stenting. Hormone therapy was suspected as the trigger factor of her SCAD, which was reported before. The surgeon re-challenged the hormone therapy later, and SCAD took place again in RCA three months later, which was left alone considering the accepted blood flow. The case showed a strong relationship between SCAD and the hormone therapy, and demonstrated different results in different treating strategy.
