Lots of interesting abstracts and cases were submitted for TCTAP 2026. Below are the accepted ones after a thorough review by our official reviewers. Don¡¯t miss the opportunity to expand your knowledge!
CASE20251104_008
Kissing Stent Technique for SVC Syndrome in an ESRD Patient on Hemodialysis: Dual Venous Outflow Restoration
By Chi-Chen Yang, Chon-Seng Hong
Presenter
Chi-Chen Yang
Authors
Chi-Chen Yang1, Chon-Seng Hong1
Affiliation
Chi-Mei Medical Center, Taiwan1
View Study Report
CASE20251104_008
Endovascular - Venous Disease Intervention
Kissing Stent Technique for SVC Syndrome in an ESRD Patient on Hemodialysis: Dual Venous Outflow Restoration
Chi-Chen Yang1, Chon-Seng Hong1
Chi-Mei Medical Center, Taiwan1
Clinical Information
Relevant Clinical History and Physical Exam
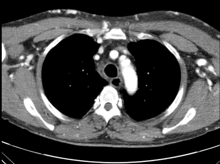
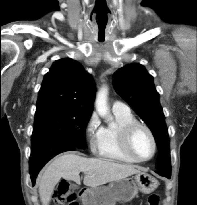
A 53-year-old man with type 2 diabetes, hypertension, COPD, and end-stage renal disease on hemodialysis presented with progressive facial swelling for one month. Vital signs were stable. Examination revealed a high-pitched voice, facial and bilateral upper limb swelling, and prominent chest wall venous engorgement. Chest CT showed bilateral brachiocephalic vein obstruction with multiple collaterals, consistent with superior vena cava (SVC) syndrome.




Relevant Test Results Prior to Catheterization
Chest CT revealed chronic thrombosis of the left brachiocephalic vein and a diminutive right brachiocephalic vein with multiple collateral channels, findings consistent with superior vena cava (SVC) syndrome secondary to chronic central venous obstruction.
Relevant Catheterization Findings
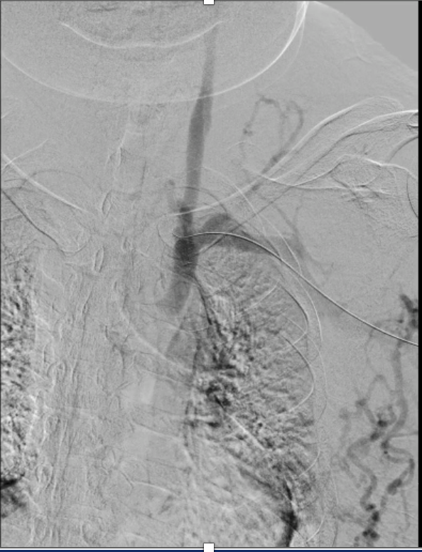
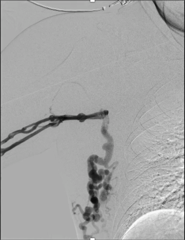
Bilateral venography demonstrated complete occlusion of both brachiocephalic veins with extensive collateral formation.
Interventional Management
Procedural Step
Real-time echo-guided puncture of both basilic veins was performed, and 6 Fr sheaths were inserted bilaterally. Bilateral venography demonstrated complete occlusion of both innominate veins with extensive collateral formation. A V-18 wire was advanced through the left brachiocephalic vein lesion, followed by a Sterling 5.0 ¡¿ 80 mm balloon inflated to 12 atm from the SVC to the left brachiocephalic vein for angioplasty. The wire was then exchanged for a Connect Flex 0.018¡È ¡¿ 300 cm wire to cross the right brachiocephalic vein lesion toward the internal thoracic connection (ITC). A Sterling 5.0 ¡¿ 80 mm balloon was inflated to 10 atm from the SVC to the right brachiocephalic and right axillary veins for angioplasty; however, the right axillary vein lesion failed to dilate adequately. A Mustang 10 ¡¿ 80 mm balloon was subsequently used and inflated to 20 atm, yet residual stenosis persisted. The wire was exchanged for a Roadrunner wire, and a Conquest 40 balloon was advanced and inflated to 30 atm for high-pressure angioplasty of the right innominate, axillary, and cephalic veins. Subsequently, Wallstent 16 ¡¿ 90 mm was deployed from the SVC to the left brachiocephalic vein, and Wallstent 14 ¡¿ 90 mm was deployed from the SVC to the right brachiocephalic vein. Final post-dilatation was performed using a Mustang 12 ¡¿ 80 mm balloon inflated to 10 atm for both brachiocephalic vein stents.



17731865(6).mp4
17731865(8).mp4
17731865(60).mp4



Case Summary
Successful endovascular revascularization was achieved in a patient with superior vena cava syndrome secondary to chronic bilateral brachiocephalic vein occlusion. High-pressure balloon angioplasty followed by bilateral stent deployment restored venous patency and relieved symptoms. This case highlights the feasibility and effectiveness of endovascular therapy in dialysis-related chronic central venous obstruction.
