Lots of interesting abstracts and cases were submitted for TCTAP 2026. Below are the accepted ones after a thorough review by our official reviewers. Don¡¯t miss the opportunity to expand your knowledge!
CASE20251103_006
Emergency Percutaneous Intervention of Stuck Prosthetic Mitral Valve
By Mohamed Kasim
Presenter
Mohamed Kasim
Authors
Mohamed Kasim1
Affiliation
Our Lady Of Health Multi Speciality Hospital, Tanjore, India1
View Study Report
CASE20251103_006
Structural - Other Structural Interventions
Emergency Percutaneous Intervention of Stuck Prosthetic Mitral Valve
Mohamed Kasim1
Our Lady Of Health Multi Speciality Hospital, Tanjore, India1
Clinical Information
Relevant Clinical History and Physical Exam
38 years old female who underwent Redo Mitral Valve Replacement (MVR) with Prosthetic Mechanical Bi-leaflet Valve, was on Oral anticoagulation (Acitrom) with therapeutic International Normalised Ratio (INR)
She Presented to us in Acute Pulmonary oedema and Cardiogenic Shock
She was Intubated , mechanically ventilated and was started on Inotropes
Bedside ECHO showed Prosthetic Valve Thrombosis and Fluoroscopy confirmed that both the leaflets were stuck
Her INR on arrival was elevated


Relevant Test Results Prior to Catheterization
Elevated PT-INR levels- Supratherapeutic LevelsThrombocytopenia - Platelets - 40,000Elevated Renal and Liver Parameters
Relevant Catheterization Findings
Fluoroscopy Revealed Stuck Prosthetic leaflets. She was planned for emergency percutaneous management in view of her present clinical and lab fincdings
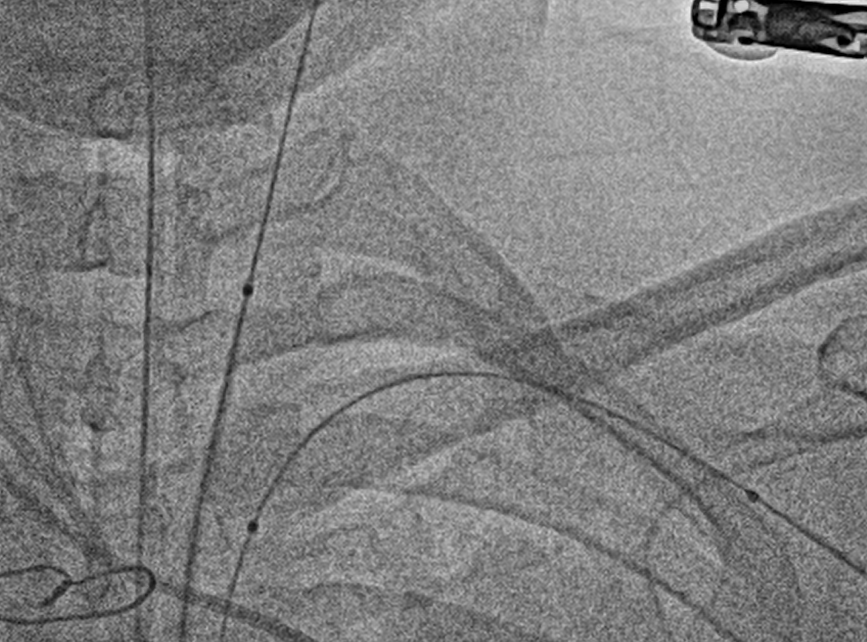
Cerebral Protection was done with one filter and two peripheral balloons
Transeptal Puncture was done and was later exchanged with 8.5fr deflectable Agilis sheath


Carotid Filter Deployment.mp4
2 Peripheral Balloons in Left system.mp4
Cerebral Protection was done with one filter and two peripheral balloons
Transeptal Puncture was done and was later exchanged with 8.5fr deflectable Agilis sheath


Interventional Management
Procedural Step
Bilateral Radial and Femoral artery access taken along with Right Femoral vein under Ultrasound guidanceCarotid filter was placed in Right carotid artery through Right femoral arteryTwo Peripheral balloons were kept in left common carotid and left subclavian through left femoral and radial artery routeTranseptal puncture through right femoral vein was done and was later exchanged with 8.5fr deflectable Agilis sheathThrough Agilis sheath valve orifices was crossed with 0.032 Terumo wireUpper Orifice was dilated with 12x140mm peripheral balloonCentral Orifice was dilated with 5x60mm peripheral balloonLower Orifice was dilated with 10x140mm peripheral balloonPost Procedure Good movement of both leaflets , still upper leaflet movement was not satisfactory.6fr Decapolar mapping catheter was used for pecking the upper leaflet and later again it was dilated with 12x140mm peripheral balloon.Movement of both leaflets were good


2.mp4
3.mp4
1.mp4


Case Summary
Percutaneous Management of Stuck Prosthetic leaflets can be done as a Bail-out options in such clinical scenarios where Redo-surgery is not a possibility.Post Procedure Immediate hemodynamic improvements can be seenAlways should be done with cerebral protection device-if only one device is available then we can use 2 peripheral balloon in carotid and subclavian artery to prevent cardioembolic stroke.Staged Redo procedures can be done after stabilisation from percutaneous management as it is bridge to Redo Surgical Interventions for Prosthetic Valve
