Lots of interesting abstracts and cases were submitted for TCTAP 2026. Below are the accepted ones after a thorough review by our official reviewers. Don¡¯t miss the opportunity to expand your knowledge!
CASE20251102_022
On the Long, Rough Road the Sun and the Moon Will Continue to Shine
By Sonam Wangdi, Wittawat Wattanasiriporn, Makha Vipanurat
Presenter
Wittawat Wattanasiriporn
Authors
Sonam Wangdi1, Wittawat Wattanasiriporn1, Makha Vipanurat1
Affiliation
Rajavithi Hospital, Thailand1
View Study Report
CASE20251102_022
Coronary - Complication Management
On the Long, Rough Road the Sun and the Moon Will Continue to Shine
Sonam Wangdi1, Wittawat Wattanasiriporn1, Makha Vipanurat1
Rajavithi Hospital, Thailand1
Clinical Information
Relevant Clinical History and Physical Exam
44 years old male patient with dyslipidemia, hypertension and heavy smoker. Present with unstable angina diagnosed as TVD refused CABG S/P PCI to LAD with 02DES (SES 3.5* 29 mm and SES 3.0*26 mm) and S/P PCI to proximal to mid RCA (SES 3.0*29 mm) and failed PCI to CTO mid to distal RCAThis visit he was admitted for elective PCI to CTO mid to distal RCA.Unremarkable physical examination.






Relevant Test Results Prior to Catheterization
BUN 17.0, Cr 0.83, GFR 107 Electrolyte: Na 138, K 3.8, HCO3 21, CL 100 Anti-HCV, Anti-HIV, HBsAg: negative WBC 8050, Hb 13.5, Hct 40, PLT 245000 PT 12.4, PTT 23.5, INR 1.08 Echo: EF 60%, inferior and inferoseptal wall hypokinesia, no significant valvular abnormalities, no pericardial effusion


F1786114.mp4
F1786124.mp4


Relevant Catheterization Findings
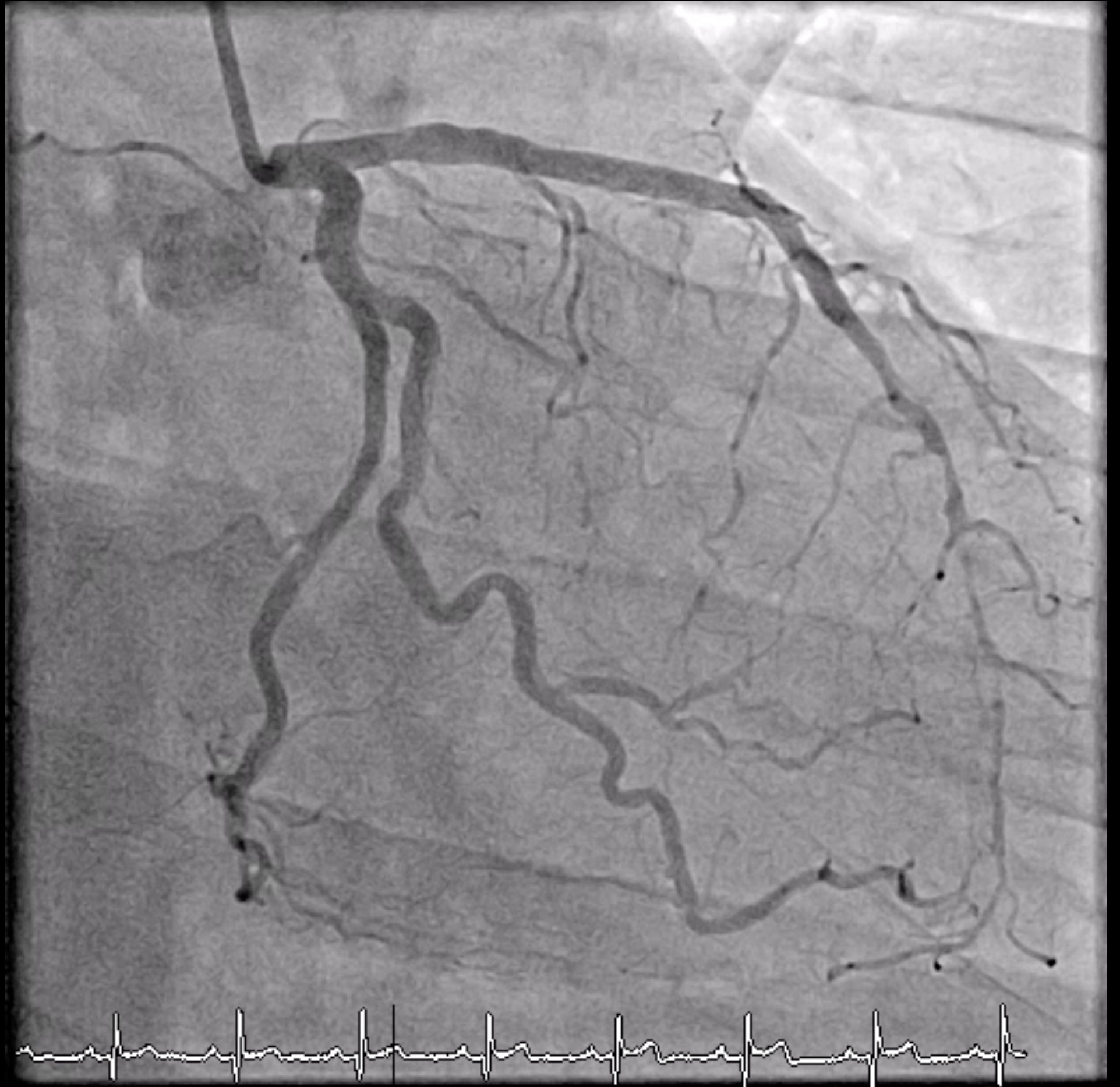
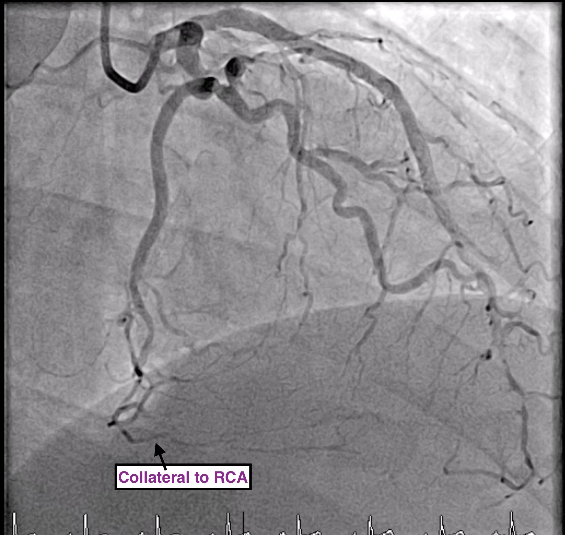
LM: NormalLAD: Patent proximal to mid-LAD stentLCx: No significant stenosisRCA: Patent stent at proximal RCA, CTO mid to distal RCA, receive collateral to PL and PDA from LAD
5.mp4
6.mp4
1.mp4
Interventional Management
Procedural Step
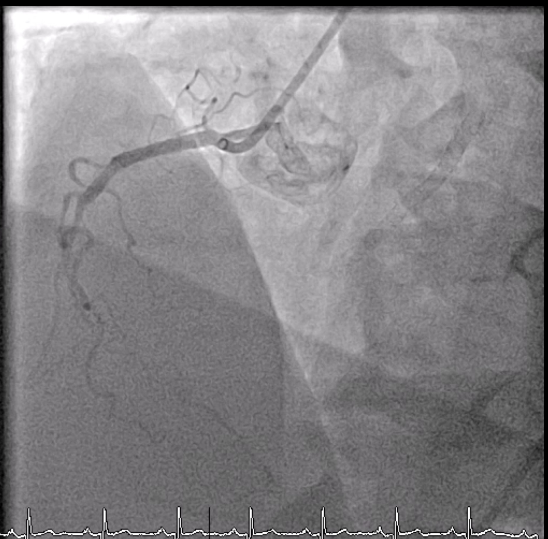
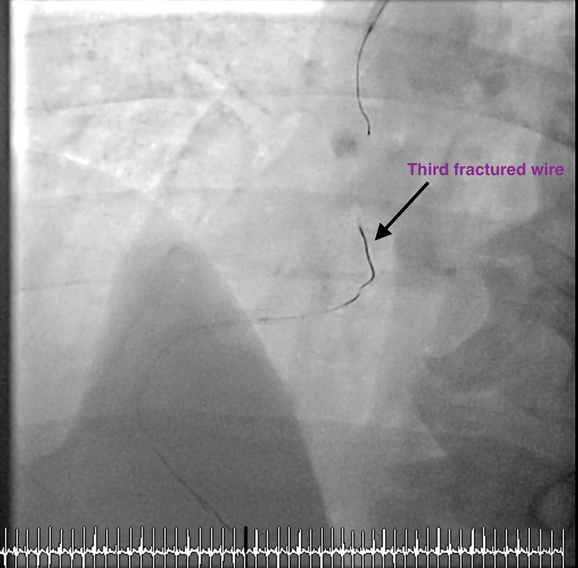
Microcatheter (Finecross) with Fielder XT to RCA, unable to pass the CTO lesion then changed to Gaia 2nd which was unsuccessful too and finally changed to Gaia 3rd. Gaia 3 rd guidewire got stuck at distal RCA. Snare catheter 8 mm was inserted to retrieve Gaia 3rd guidewire which was unsuccessful (Several attempts). Turntrac guidewire and Fielder-XT was inserted across the lesion to twist wire for Gaia 3rd retrieval, but failed and complete fracture of all three wires happened. Snare Size 8 mm was inserted for retrieval but failed.Smaller snare size 7 mm and 4 mm were inserted for retrieval but failed.Left femoral artery puncture with 8 Fr. Sheath. Guiding catheter JR 4.0/7 was used. Snare 8 mm and 15 mm via LFA could retrieve some part of wire. Decided to leave the wire at RCA due to several failed attempts. Angiogram was done before stopping the procedure. As we were removing the catheter, thin stretched guidewires were seen floating in the ascending aorta till descending aorta. Snare 15 mm could remove the wire floating in the aorta after several attempts.Final angiogram showed retained some parts of fractured guidewires and planned to leave it there. The patient was asymptomatic and hemodynamically stable.



Third fracture wire.mp4
Retrieving second fracture wire.mp4
Wire Floating in aorta.mp4



Case Summary
1. Factors that predispose to guidewire fracture include severe vessel calcification, sharp side branch angulation, excessive wire manipulation, and variations in wire length or thickness 2. Guidewire is thrombogenic and its presence inside the coronary or hanging up into the aorta may carry a risk of thrombo-embolization, making its removal essential. 3. Strategies for retrieval of fractured guidewire includes snaring, multiwire technique, trapping techniques, stenting, surgical removal or leaving the corpus alienum in-situ. 4. GooseNeck snare is a feasible approach for retrieving a lost guidewire confined to proximal coronary artery.
