Lots of interesting abstracts and cases were submitted for TCTAP 2026. Below are the accepted ones after a thorough review by our official reviewers. Don¡¯t miss the opportunity to expand your knowledge!
CASE20251028_001
Step-Down Rota Burr Strategy in Calcific Lesion
By Sourabh Agstam, Sandeep Seth
Presenter
Sourabh Agstam
Authors
Sourabh Agstam1, Sandeep Seth1
Affiliation
AIIMS, New Delhi, India1
View Study Report
CASE20251028_001
Coronary - Complex PCI - Calcified Lesion
Step-Down Rota Burr Strategy in Calcific Lesion
Sourabh Agstam1, Sandeep Seth1
AIIMS, New Delhi, India1
Clinical Information
Relevant Clinical History and Physical Exam
• A 64-year-old gentleman, a known case of diabetes, hypertension, had IWMI (2009) followed by Unstable angina (2019)- Diagnosed as 3VD Left main - Normal LAD(M)=90% LCX –OM1=100% RCA (p) = 50% Underwent PCI-LAD (3.5*38,3.5*12mm DES ) and PCI-LCX (2.75*18mm DES) in 2019. Now, Angina on exertion NYHA - II X 2 year, worsening from last 1 month. The 12-lead-EKG was normal.

O

Relevant Test Results Prior to Catheterization
Two-dimensional echocardiography showed Normal left ventricle systolic function. Laboratory parameters were in normal range.
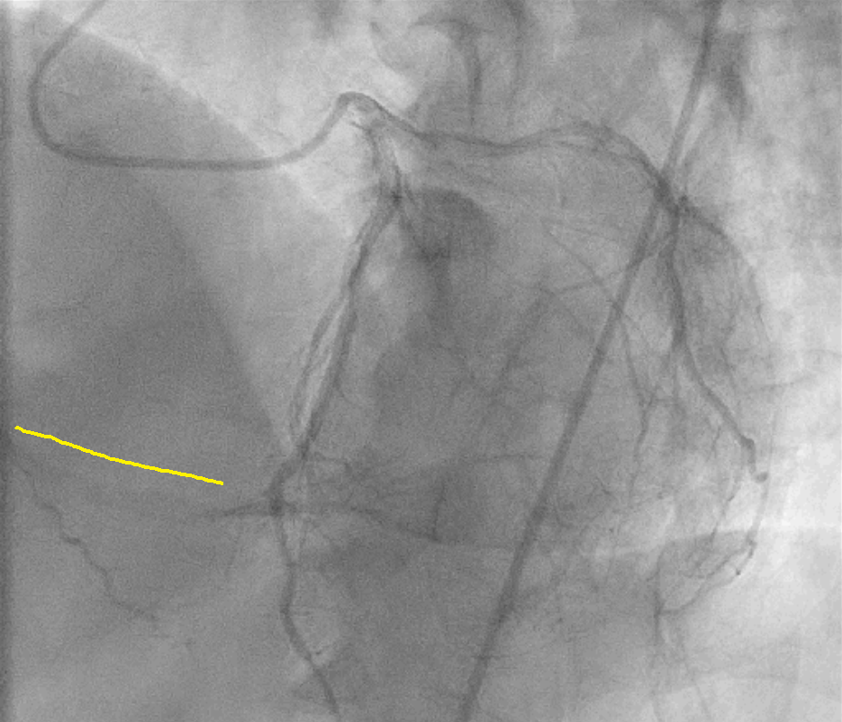
Relevant Catheterization Findings
Angiogram suggestive of patent stents in LAD and LCX; and dominant right coronary artery with proximal cut off along with tram track calcification. The RCA is filling distally by retrograde collaterals Rentrop III.


mov-00001.avi
mov-00005.avi
Video 1.mp4


Interventional Management
Procedural Step
7F Femoralapproach and AL 0.75 was taken. Lesion crossed with Runthrough wire with fine cross support. Predicated with 1.5*5mm semicomplaint balloon , could not crossed and busted distally. ROTA 1.5mmburr, couldn't crossed at mid RCA, even at 200000 rpm speed, likely wire bias. ROTA 1.25mm burr crossed at 150000 rpm and after that, lesion was predilated with 2.5*15 mm semicomplaint balloon, and 2.75*15 mm non complaint balloon. Stent 2.5*38mm was deployed in distal-mid RCA at 12 atm, and proximal stent 3*32 mm was deployed in mid-proximal RCA at nominal pressure with Guidezilla support.Post stent dilation was done distally with 3*15 mm and proximally with 3.5x15mm Non-complaint balloon @ 16-18 atm. Good end result.


video 2.mp4
Video 3.mp4
mov-00024.avi


Case Summary
Step-down Rota burr strategy should be done early, in case of difficulty with regular burr. Wire bias does exist during Rota ablation. Tortuosity in vessel predisposes to wire bias in rotablation. Changing the wire to extra support or reducing the burr size: what should be done ideally and always matter of discussion.
