Lots of interesting abstracts and cases were submitted for TCTAP 2026. Below are the accepted ones after a thorough review by our official reviewers. Don¡¯t miss the opportunity to expand your knowledge!
CASE20251026_006
Two Culprit Lesions Arising From a Single Coronary Ostium
By Aleksandar Jovkovski
Presenter
Aleksandar Jovkovski
Authors
Aleksandar Jovkovski1
Affiliation
University Clinic of Cardiology, Skopje, Macedonia1
View Study Report
CASE20251026_006
Coronary - Complex PCI - Multi-Vessel Disease
Two Culprit Lesions Arising From a Single Coronary Ostium
Aleksandar Jovkovski1
University Clinic of Cardiology, Skopje, Macedonia1
Clinical Information
Relevant Clinical History and Physical Exam
Patient admitted in our hospital, with chest pain 2 hours before admission. On physical examination BP 110/70, hr-60 bpm. Patient is a smoker, and have a positive family history for coronary artery disease.EKG on admission :


Relevant Test Results Prior to Catheterization
Patient had elevated TnT - 1389 ng/L , urea- 7.2 mmol/L, creatinine-81 mmol/L ,




Relevant Catheterization Findings
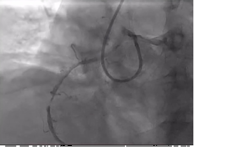
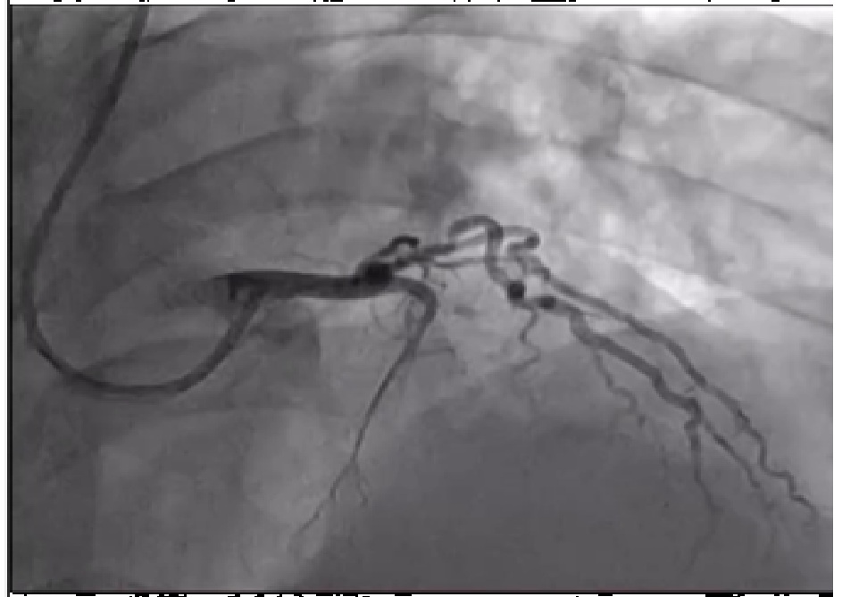
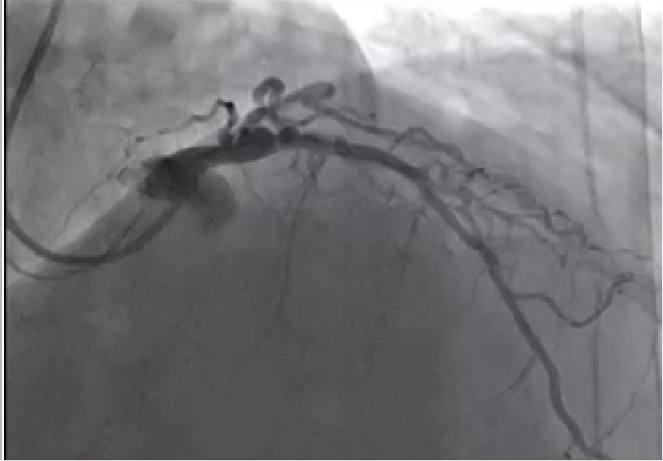
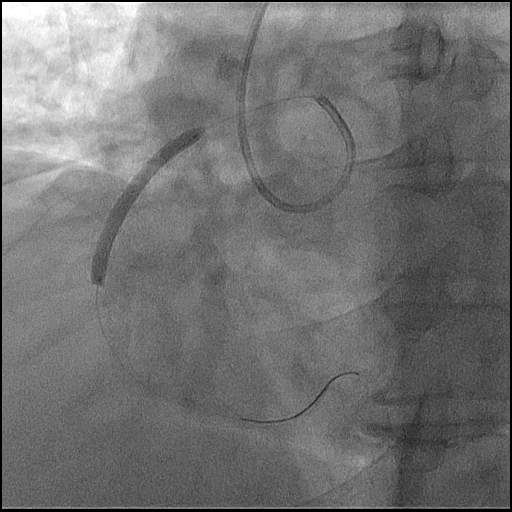
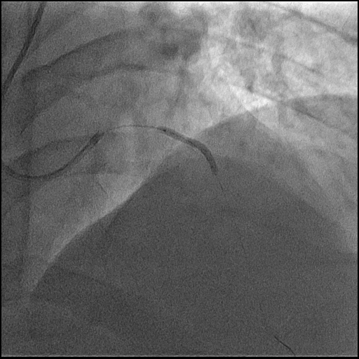
Coronary angiography has been performed, right coronary artery couldn't be find in the right coronary ostium, with EBU 3.5 right coronary artery was visualized arising from the left coronary ostium. LAD was occluded and RCA was with 99% stenosis in mid segment.


MOVIE-0002.mp4
MOVIE-0008.mp4
MOVIE-0013.mp4


Interventional Management
Procedural Step
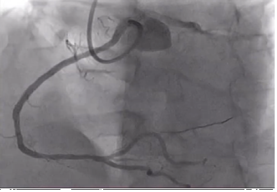
Diagnostic angiography has been performed and occluded Left Anterior descending artery was visualized but, the right coronary artery couldn't be find from the right coronary ostium. 6F EBU 3.5 catheter trough the right radial approach has been inserted and we could visualize right coronary artery arising from the left coronary ostia. Direct stenting was performed with 3.5/38mm DES at 17 atm. After this procedure we continued to LAD, passed the occlusion with BMW wire after which predilatation with 2.5/20 mmx 14 atm has been performed and after that 3.0/28mm DES at 15atm was implanted with good end result


MOVIE-0011.mp4
MOVIE-0021.mp4
MOVIE-0022.mp4


Case Summary
In patients with STEMI (ST-elevation myocardial infarction), the presence of two culprit lesions combined with anatomical anomalies of the coronary arteries represents a rare but clinically significant finding. Such cases require careful angiographic evaluation and an individualized therapeutic approach to achieve optimal revascularization and minimize the risk of complications. Recognizing these variations is essential for successful interventional management and for improving long-term prognosis.
