Lots of interesting abstracts and cases were submitted for TCTAP 2026. Below are the accepted ones after a thorough review by our official reviewers. Don¡¯t miss the opportunity to expand your knowledge!
CASE20251021_005
Single Catheter to Accomplish Retrograde CTO of LAD Using Septal-to-Septal Pathway
By Raghav Sharma
Presenter
Raghav Sharma
Authors
Raghav Sharma1
Affiliation
RKM Hospital , India1
View Study Report
CASE20251021_005
Coronary - Complex PCI - CTO
Single Catheter to Accomplish Retrograde CTO of LAD Using Septal-to-Septal Pathway
Raghav Sharma1
RKM Hospital , India1
Clinical Information
Relevant Clinical History and Physical Exam
• 67years male • Historyof diabetes, hypertension. • CADwith Unstable Angina • NormalLVEF and Renal Function • Historyof previous coronary artery disease
Proceeded to coronary angiography for further evaluation due to high-risk presentation and known CAD history

Proceeded to coronary angiography for further evaluation due to high-risk presentation and known CAD history

Relevant Test Results Prior to Catheterization
• diabetes, hypertension. • CADwith Unstable Angina • NormalLVEF and Renal Function • Historyof previous coronary artery disease
Relevant Catheterization Findings
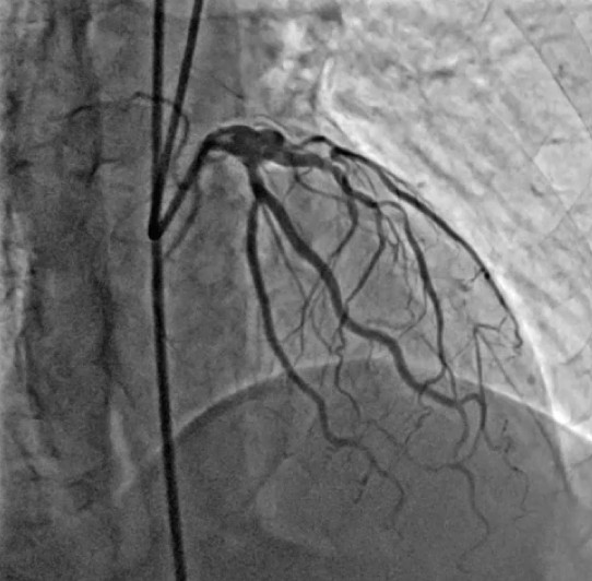
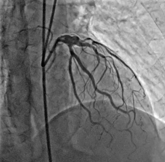
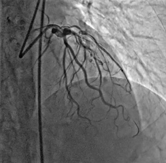
Chronic total occlusion of the mid LAD, with a blunt proximal cap. ¡¤ TIMI 0 flow distal to the occlusion. ¡¤ Distal LADvisualized via retrograde collateralfilling. ¡¤ Lesion length estimated to be >20 mm withmoderate calcification and tortuosity
Angiographyconfirmed a suitable anatomy for retrograde CTO PCI via septal-to-septalcollateral pathway using a single-catheter technique.Thepresence of navigable CC1–CC2 septal collaterals, clear visualization ofthe distal LAD,


Media 3.1.1.mp4
Media 3.2.2.mp4
Angiographyconfirmed a suitable anatomy for retrograde CTO PCI via septal-to-septalcollateral pathway using a single-catheter technique.Thepresence of navigable CC1–CC2 septal collaterals, clear visualization ofthe distal LAD,


Interventional Management
Procedural Step
Access and Guide Catheter Engagement



Media4.1 .0.mp4
Media6.3.0.mp4
Media9.2.0.mp4
- A single arterial access was obtained via the right femoral artery.
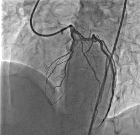
- A 7F EBU 3.5 guide catheter was used to selectively engage the left coronary artery, providing support for both antegrade and retrograde maneuvers.
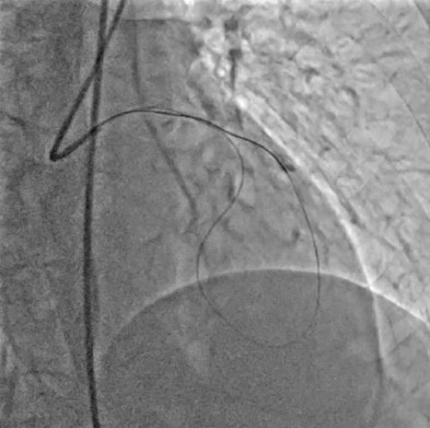
- Well-developed septal-to-septal collateral channels connecting the proximal septal branch of the LAD or LCX to distal LAD septal branches were identified and deemed suitable for retrograde approach.A Sion wire was advanced into the donor septal branch through the same guide catheter. Over the wire, a Corsair Pro XS microcatheter was carefully navigated through the septal collateral to reach the distal true lumen of the LAD, under fluoroscopic roadmap guidance
- Using a Gaia Second wire, the CTO segment was crossed retrogradely from the distal LAD into the proximal true lumen of the LAD.
- The microcatheter was advanced to provide support and facilitate wire manipulation.
- An antegrade 1.5 mm balloon was positioned proximal to the occlusion.
- The balloon was inflated to create a controlled subintimal space (Reverse Controlled Antegrade and Retrograde Subintimal Tracking).
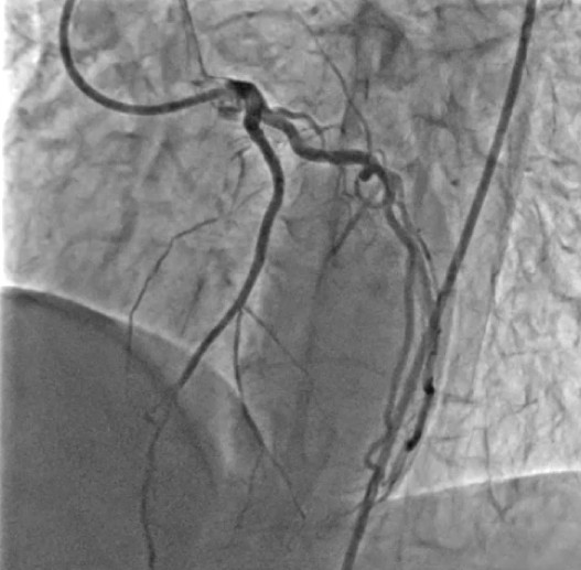
- The retrograde wire was maneuvered into the antegrade guide catheter through the subintimal space.Sequential balloon dilatation was performed to prepare the occluded segment.Overlapping drug-eluting stents (DES) were deployed to cover the entire length of the CTO.Final angiography demonstrated TIMI 3 flow in the LAD with no residual stenosis or complications.



Case Summary
The single-catheter retrograde approach via septal-to-septal collateral channels offers a safe and effective strategy for the recanalization of complex mid-LAD chronic total occlusions. Utilizing a femoral access with a single guide catheter minimizes vascular complications associated with dual arterial access. The septal-to-septal collateral provided an excellent retrograde pathway, allowing successful CTO crossing and stenting using the reverse CART technique. This approach resulted in restoration of TIMI 3 flow with no procedural complications and favorable immediate clinical outcomes. The case highlights the feasibility and efficacy of single-catheter retrograde CTO PCI using septals
